
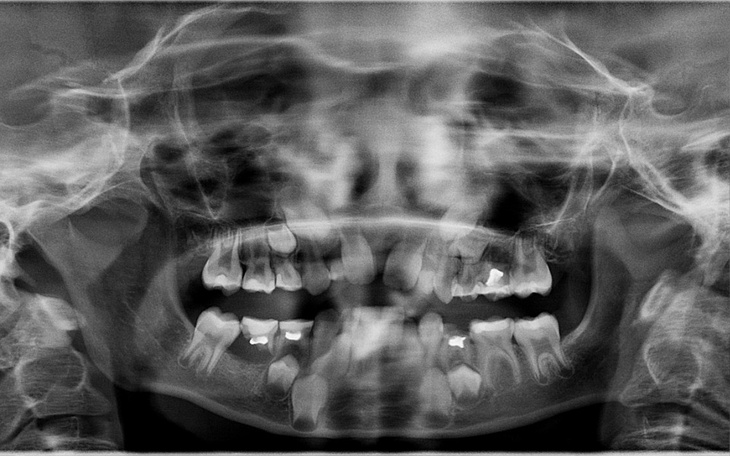
Na zdjęciu są mleczaki i jak ktoś sie zna tylko kilka zębów stałych. Oligodoncja choroba ta jest wrodzonym brakiem zębów występuje u 0,01 do 0,03 procent populacji no niestety przytrafiło się to mojej córce. Istnieje zagrożenie że inne organy mogą nie funkcjonować gdyż przeważnie jest to jakoś powiązane. Na szczęście nic na razie nie wykryto. Brakuje jej 14 zębów stałych tak 14. Nie chce dodać zdjęcia żeby koleżanki się z niej nie naśmiewały gdyż dzieci bywają okrutne względem siebie. Na razie tego nie widać wiadomo mleczaki wypadają. Oczywiście w okolicy nie ma nikogo kto by się znał na takim przypadku- dentyści fajnie są mili, oznajmili że jedynie czytali z książek o takim przypadku osobiście żadnego nie widzieli aż do momenty gdy zobaczyli moją córkę. Muszę dojeżdżać z nią jakieś 250 km na leczenie do Pani Doktor i to standardowo w naszym Państwie prywatnie. Na razie leczenie będzie polegało na rozszerzaniu położenia zębów jakiś aparat a potem na wstawieniu implantów. Aparat dojazdy jakoś udźwignę z wypłaty ale implanty.... Sam implant - to jakieś 2400-3000 plus "ząb-korona" jakieś 1000-1300 zł. Wiem że dużo ludzi ma pewnie cięższą sytuację ode mnie ale jak ktoś może to niech podzieli się czym może Mam nadzieje że do jej 18 dozbieram potrzebne pieniądze.


Gdy świat się wali, dajemy nadzieję ❤️ Wspieramy chorych w pozyskaniu środków na leczenie, pomagamy zwierzętom i reagujemy natychmiast w pilnych sytuacjach kryzysowych 🚨
Jak odmienić los tysięcy potrzebujących za darmo?
✅ Wybierz Fundacja Pomagam.pl na liście OPP w rozliczeniu PIT.
✅ Wpisz nasz numer KRS 00 00 353 888 w deklaracji PIT.
Dla Ciebie to rubryka. Dla nich szansa, by przetrwać najgorsze.