
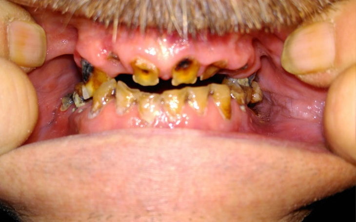
Kochani.Wiem że widok jest porażający.Jest to efekt mojego panicznego lęku przed dentystą.Jest możliwość usunięcia obecnej i wstawienia"nowej klawiatury"w ciągu jednego dnia(bezboleśnie).Tylko kosztuje to ok 35 000zł.NFZ tego nie refunduje.Ja jestem bez kasy(bezrobotny m.in.z powodu tej"paszczy").Z góry dziękuję wszystkim którzy wspomogą mnie w przywróceniu do w miarę normalnego życia


Gdy świat się wali, dajemy nadzieję ❤️ Wspieramy chorych w pozyskaniu środków na leczenie, pomagamy zwierzętom i reagujemy natychmiast w pilnych sytuacjach kryzysowych 🚨
Jak odmienić los tysięcy potrzebujących za darmo?
✅ Wybierz Fundacja Pomagam.pl na liście OPP w rozliczeniu PIT.
✅ Wpisz nasz numer KRS 00 00 353 888 w deklaracji PIT.
Dla Ciebie to rubryka. Dla nich szansa, by przetrwać najgorsze.