FUNDACJA FOR ANIMALS
Kot dziś rano odebrany, późnym wieczorem dzwonił Pan Dr Oganiaczyk z informacją o przebiegi operacji.
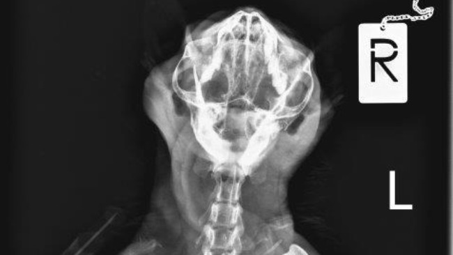
Kot ma już dziób symetryczny, właściwie zamknięty - zdjęcia później.
W domu wsunął puszeczkę gourmeta - przez strzykawkę, wieczorem spróbuję podać w miseczce.
Leki mam, instrukcję obsługo mam, wizyta kontrolna będzie, nie zapytałam o koszt.... Operacji wyciągania drutów raczej nie będzie.
Finansowo - voucher 200zł, operacja 2060zł, jedzenie - Ania K. obiecała setkę puszeczek - 3 dziennie zjada. Zapas strzykawek muszę zrobić :)



Po wielu telefonach znalazłam lekarza weterynarii - chirurga - który podjął się wykonania skomplikowanego zabiegu "naprawy" żuchwy. Koszt samej operacji to ok.2,5tys zł, pooperacyjny pobyt w szpitaliku, leki, potem usunięcie drutów - pewnie drugie tyle.... 






Jagoda Chet
Zdròwka kotku
Magdalena BT
Zdrowia kocie 🐱
Anonimowy Darczyńca
Dużo siły dla Wszystkich!
Anonimowy Darczyńca
Trzymaj się, Kocie!