
Aktualizacja 05.03.2026
Szanowni Państwo,
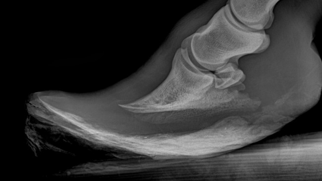
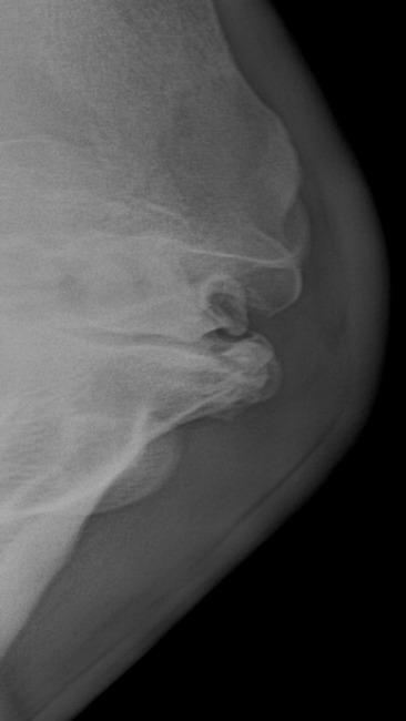
jest źle. Laluś miał wykonane zdjęcia RTG zarówno łopatki, jak i kopyt. Deformacja łopatki wymaga podawania leków, dodatkowo Laluś ma ochwat, a co za tym idzie przed nim wielomiesięczne leczenie, co wiąże się z dużymi kosztami.
Opis weterynaryjny: Obrzęk i deformacją prawej kończyny piersiowej w okolicy stawu ramiennego- badanie radiologiczne wykazało znaczne zmiany zwyrodnieniowe, deformację stawu barkowego
Nieprawidłowe kopyto krzywe lewa kończyna piersiowa znaczne zaniedbanie w werkowaniu kopyta wyrastanie puszki kopytowej stosowne do postawy rozwartej.
Zalecenia: Terapia przeciw bólowa i przeciw zapalna w celu ograniczenia bólu stawu barkowego . Werkowanie kopyt uwzględniając położenie kości kopytowej w puszce kopytowej najlepiej na sedacji



Koszty leczenia i dalszej diagnostyki Lalusia oraz koszt wizyt lekarza i wykonywanie werkowania na sedacji to bardzo duże wydatki. Ale bez nich Laluś nie ma najmniejszej szansy na życie bez cierpienia.
Dodatkowo potrzebne będą pieniądze na kastracje.
Bardzo prosimy o pomoc dla Lalusia. On nigdy nie będzie procował, zarabiał, nie ma własnych pieniędzy, może liczyć tylko na wsparcie osób o wielkim sercu.
Dziękuję, za każdą pomoc.
Michał Bednarek
tel 506 349 596
-----------------
Aktualizacja
Szanowni Państwo,
dzięki Wam udało się uzbierać środki na odkupienie Lalusia, dziękuję z całego serca za ten pierwszy krok.
Teraz trzeba będzie zająć się jego diagnostyką i leczeniem, bo ratowanie to nie tylko wykup, ale również zapewnienie diagnostyki i leczenia.
Proszę o dalszą pomoc dla Lalusia. Musi mieć wykonane zdjęcia RTG zarówno kopyt, jak i łopatki wtedy będzie wiadomo jak ma być prowadzone leczenie.
Dziękuję, za każdą pomoc.
Michał Bednarek
tel 506 349 596
-----------------
LALUŚ Z OCHWATEM I ZWICHNIĘTYM BARKIEM
pilnie potrzebna pomoc!
Agnieszka i jej mąż mają u siebie trzy konie. Takie, które nic nie muszą robić, choć są zdrowe i w sile wieku. To konie kiedyś wykupione z rzeźni, a teraz członkowie rodziny.
W tej samej okolicy, od lat, niemal w cieniu tych spokojnych losów, mieszkał kucyk.
Sam. Zawsze sam. Nazywa się Laluś.
Stał u sąsiada, bez stada, dzień za dniem, miesiąc po miesiącu, zapadając się w samotność równie mocno jak w ból, bo Laluś ma ochwat, i wszystko wskazuje na to, że ma też wybity albo zwichnięty bark, z którym nikt nic nigdy nie zrobił.
Agnieszka i jej mąż nie potrafili udawać, że nie widzą. Nie umieli przejść obok. Uprosili więc sąsiada, z litości, z niezgody na cierpienie, żeby Laluś mógł stanąć u nich, choćby na chwilę, choćby po to, by nie być już samotnym koniem patrzącym w pustą przestrzeń.
I Laluś przybył, a oni wezwali kowala.
Gdy zobaczył kopyta Lalusia, było jasne, że zaniedbania są ogromne.
Część udało się obciąć i ulżyć mu choć trochę, ale na dalsze działanie potrzebne są zdjęcia RTG i pełna diagnostyka, bo bez tego każde kolejne struganie to ryzyko, a tu już nie ma miejsca na błędy.
Po wielu rozmowach, sąsiad w końcu zgodził się sprzedać Lalusia. Agnieszka z mężem mają ograniczone środki finansowe i zwrócili się do nas o pomoc. Mogą podjąć się opieki nad Lalusiem, chcą dać mu to samo, co dali swoim zwierzakom – spokój, bezpieczeństwo i życie bez przymusu, ale żeby było to możliwe, trzeba go odkupić, wykonać diagnostykę RTG, rozpocząć leczenie ochwatu i barku, przeprowadzić kastrację i objąć dalszą opieką weterynaryjną, bo ten koń nigdy wcześniej nie miał szansy na coś, co można by nazwać prawdziwą troską.
Laluś niczego od ludzi nie chce. Nie chce pracować. Nie chce być potrzebny. Nie chce na siebie zarabiać. On chce tylko nie cierpieć. I nie być już sam.
Proszę Was o pomoc. O wsparcie dla Lalusia. O szansę dla niego na normalne, dobre życie.
Właściciel za darmo go nie odda, trzeba Lalusia spłacić. Ten koszt to 1000 zł. A potem, jeśli się to uda rozpocząć diagnostykę i leczenie. To będą znacznie większe wydatki. Wizyty lekarza, zdjęcia RTG, wielokrotne korekcje kopyt wykonane przez kowala ortopedę, być może konieczny będzie pobyt w klinice i operacja.
Szanowni Państwo,
proszę o pomoc. Każda złotówka to krok dalej od bólu, który trwał zbyt długo, i krok bliżej miejsca, w którym Laluś wreszcie może po prostu być.










Jak możesz pomóc?
Wesprzyj zbiórkę
Udostępnij apel znajomym i rodzinie – im więcej osób się dowie, tym większa szansa, że się uda
Podaruj 1,5% podatku wpisując KRS0000794938
Jeśli możesz zaoferować pomoc w inny sposób (transport, wolontariat, zbiórkę darów), skontaktuj się z nami mailowo lub telefonicznie.
Dziękuję, za każdą pomoc.
Michał Bednarek
tel 506 349 596
Uważasz, że ta zbiórka zawiera niedozwolone treści ? Napisz do nas


Gdy świat się wali, dajemy nadzieję ❤️ Pomagamy chorym i bezdomnym zwierzętom, ratujemy je w sytuacjach kryzysowych np. w czasie mrozów lub powodzi oraz wspieramy schroniska 🏠🐾
Jak odmienić los tysięcy potrzebujących za darmo?
✅ Wybierz Fundacja Pomagam.pl na liście OPP w rozliczeniu PIT.
✅ Wpisz nasz numer KRS 00 00 353 888 w deklaracji PIT.
Dla Ciebie to rubryka. Dla nich szansa, by przetrwać najgorsze.