
💔 TYMIANEK. MAŁY KOT, KTÓRY ZNA BÓL ZAMIAST RADOŚCI Z ŻYCIA. 💔
Tymianek powinien biegać, wspinać się, polować na zabawki i zasypiać zmęczony szczęściem.
Zamiast tego od jakiegoś czasu walczy z bólem, którego nie rozumie i którego nie powinien doświadczać żaden kot.

🧡 Jego historia zaczęła się na dachu…
Tymianek został znaleziony jako malutki kociak, razem ze swoim rodzeństwem, na sąsiednim dachu obok naszej fundacji. Przerażone, bezbronne, zdane same na siebie. Nikt nie chciał się nimi zaopiekować.
Gdyby nie interwencja — nie wiadomo, czy dziś w ogóle by żyły.
Tak trafiły pod skrzydła naszej fundacji. Dla Tymianka i jego rodzeństwa miało to być nowe, bezpieczne życie. Niestety los napisał dla niego inny scenariusz…
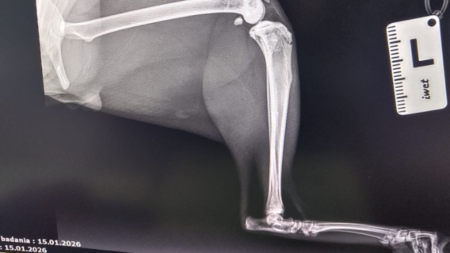
😿 Dziś Tymianek żyje w ciągłym bólu!
Zdiagnozowano u niego ciężką niestabilność obu rzepek, która sprawia, że każdy krok jest niepewny i bolesny. Dodatkowo lewa tylna kończyna wymaga specjalistycznego zabiegu TGR — wszczepienia protezy bloczka kości udowej.

To bardzo skomplikowana i kosztowna operacja, ale jedyna szansa, by Tymianek mógł normalnie chodzić i żyć bez cierpienia.
❗ Bez operacji jego stan będzie się tylko pogarszał!





Ból będzie narastał, pojawią się zwyrodnienia, a Tymianek — choć jeszcze taki młody — może zostać skazany na trwałe kalectwo. Już teraz widać, że ogranicza ruch, bo po prostu się boi.
🩺 Lekarze nie mają wątpliwości — czas ma tu ogromne znaczenie. Operacje stabilizacji obu rzepek oraz zabieg TGR muszą zostać wykonane możliwie szybko. Niestety ich koszt znacznie przekracza możliwości naszej fundacji. Dopóki nie zbierzemy chociaż części potrzebnej kwoty (która finalnie może okazać się wyższa), nie jesteśmy w stanie zapisać go na te zabiegi. 💔💔💔

🙏 Dlatego błagamy o pomoc dla Tymianka!
Każda, nawet najmniejsza wpłata to realna nadzieja, że:
•przestanie cierpieć
•zacznie chodzić bez bólu
•pobiegnie za piłeczką lub myszką
•wskoczy na drapak
💚 Tymianek nie potrafi poprosić o pomoc, nierozumie, dlaczego jego łapki nie działają jak u innych kotów. Nie wie, że gdzieś tam są ludzie, którzy mogą odmienić jego los.
To my musimy być jego głosem❗️

Jeśli możesz — wesprzyj zbiórkę.
Jeśli nie możesz — udostępnij dalej.
Jedno kliknięcie, jedna złotówka — to dla Tymianka ogromna różnica. 💪🏻
🐾 Pomóżmy mu w końcu żyć bez bólu.
Dziękujemy z całego serca w imieniu fundacji i małego wojownika imieniem Tymianek! 💚
Twoje słowa mają moc pomagania! Wpłać darowiznę i przekaż kilka słów wsparcia 🤲
Uważasz, że ta zbiórka zawiera niedozwolone treści ? Napisz do nas


Gdy świat się wali, dajemy nadzieję ❤️ Pomagamy chorym i bezdomnym zwierzętom, ratujemy je w sytuacjach kryzysowych np. w czasie mrozów lub powodzi oraz wspieramy schroniska 🏠🐾
Jak odmienić los tysięcy potrzebujących za darmo?
✅ Wybierz Fundacja Pomagam.pl na liście OPP w rozliczeniu PIT.
✅ Wpisz nasz numer KRS 00 00 353 888 w deklaracji PIT.
Dla Ciebie to rubryka. Dla nich szansa, by przetrwać najgorsze.
AKK2
fingers crossed, Tymianku!