
Dzień Dobry Państwu.
Zdaję sobie sprawę iż są ludzie którzy potrzebują równie mocno bądź nawet bardziej Państwa wsparcia. Sam unikałem jak ognia proszenia innych o pomoc (tym bardziej finansową pomoc) lecz ta zbiórka jest moją ostatnią szansą na normalne życie.
Chciałbym również żeby Państwo wiedzieli że wszystko co opisałem poniżej nie jest moim powodem do jakiejkolwiek dumy oraz, że się wstydzę i żałuję swojej historii w niewyobrażalny dla Państwa sposób.
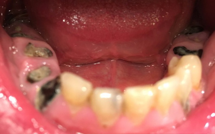
1:ZACZNĘ OD TEGO W JAKI SPOSÓB DOPUŚCIŁEM DO TAKIEGO ZANIEDBANIA.
Wydaję mi się że zaczęło się to wszystko po śmierci mojego Ojca. Jako nastolatek (przełom 16-17 roku życia) strasznie przeżyłem jego utratę i ze spokojnej osoby ze średnimi ocenami stałem się strasznym bachorem nienawidzącym cały świat za jego nie sprawiedliwość. Zacząłem najpierw palić papierosy, potem w ruch poszedł alkohol aż skończyło się na narkotykach(Myślę że właśnie narkotyki są jedną z głównych przyczyn obecnego stanu mojego uzębienia.) Przysporzyłem matce, której też nie było łatwo jeszcze więcej trosk i zmartwień. Przez jedną głupią decyzję, jeszcze głupszego dzieciaka (mówię tu o sobie) spieprzyłem całe swoje życie. Nie przejmowałem się niczym, liczył się tylko biały chemiczny proszek. Zaniedbałem własną Matkę oraz siebie a w tym czasie zęby się psuły a ja je traciłem.
Kiedy koleżance wraz z moją Mamą w jakiś sposób udało im się pomóc mi się opamiętać, wyjść z uzależnienia oraz zmienić priorytety było już za późno. Nie miałem ani wykształcenia ani zębów za to zostały mi długi oraz komornicy bankowi (kredyty nabrane na zaświadczenie o rencie po Tacie). Pracując na budowie wieczorowo dokończyłem szkołę oraz jakoś spłaciłem komorników. w tej chwili pracuję dalej na budowie, lecz z mojej pensji po odliczeniu pieniędzy oddanych mojej Mamie na czynsz, rachunki oraz jedzenie nie zostaje mi naprawdę niewiele (ok 400-500zł) odkładając całość uzbierałbym potrzebną na leczenie kwotę za 8-10 lat a wtedy na pewno będzie dla mnie za późno... dlatego błagam rodaków o pomoc...
Oczywiście wszystko to jest w jednym wielkim skrócie ponieważ o swoich złych decyzjach mógł bym napisać książkę.
2: JAK WYGLĄDA ŻYCIE ORAZ JAK SIĘ CZUJE PRAWIE BEZZĘBNY MŁODY CZŁOWIEK?
Unika wyjść towarzyskich z domu ponieważ cierpi patrząc jak inni jedzą gdy ten może robić to tylko samotnie w domu ze względu na potworne problemy z jedzeniem oraz nie może znieść pogardliwego i wyśmiewającego wzroku innych ludzi. Zaczyna izolować się od społeczeństwa oraz całego świata. Przez ból towarzyszący przy każdym myciu resztek uzębienia i przy każdym posiłku traci pewność siebie, poczucie własnej wartości, staje się we własnym mniemaniu jednym wielkim niepotrzebnym śmieciem. I tu zaczyna się depresja która z czasem zaczyna się pogłębiać aż dochodzi do myśli samobójczych.
i gdyby tego cierpienia za własne błędy było mało w moim przypadku dodatkowo dobijającymi problemami są chore plecy które w najmniej spodziewanych momentach odmawiają posłuszeństwa i nie pozwalają się wyprostować do czasu wizyty w szpitalu i przyjęciu serii zastrzyków przeciwbólowych , oszpecające bielactwo(nabyte) zmuszające do unikania jedynej pozytywnej w moim życiu rzeczy czyli słońca oraz od ok 1,5-2 lat męcząca łuszczyca zachęcająca do jeszcze głębszej izolacji od świata.
3; W JAKIM MIEJSCU WIDZĘ SIĘ PO EWENTUALNEJ UDANEJ ZBIÓRCE ORAZ PO WYKONANIU OPERACJI WSTAWIENIA PROTEZ.
W moich snach i marzeniach widzę się w kilku miejscach. Przez myśl przeszło mi stworzenie fundacji pomagającej ludziom w podobnej sytuacji jak moja (bezzębnym) oraz edukowanie najmłodszych o konsekwencjach uzależnień po przez opisanie własnej historii. A moim największym marzeniem jest się w końcu móc uśmiechnąć w towarzystwie innych ludzi oraz założenie własnej rodziny.
Z GÓRY DZIĘKUJĘ PAŃSTWU CHOĆBY ZA SAMĄ CHĘĆ POMAGANIA INNYM CZEGO DOWODEM JEST ZAJRZENIE NA POWYŻSZĄ STRONĘ ORAZ ZA EWENTUALNE WSPARCIE MOJEJ OSOBY.
JEŚLI MAJĄ PAŃSTWO JAKIEŚ PYTANIA BĄDŹ WĄTPLIWOŚCI PROSZĘ ŚMIAŁO DO MNIE PISAĆ NA ADRES [email protected]
Postaram się odpowiedzieć na każde pytanie.
Wszystkie zebrane pieniądze przeznaczę na leczenie w klinice dentystycznej. Zbiórka na powyższym portalu może zakończyć się szybciej ponieważ bliźniaczą zbiórkę chcę założyć na podobnym do tego portalu zrzutka .pl
Jeszcze raz dziękuję za poświęconą uwagę i pozdrawiam P. (lat 27)


Gdy świat się wali, dajemy nadzieję ❤️ Wspieramy chorych w pozyskaniu środków na leczenie, pomagamy zwierzętom i reagujemy natychmiast w pilnych sytuacjach kryzysowych 🚨
Jak odmienić los tysięcy potrzebujących za darmo?
✅ Wybierz Fundacja Pomagam.pl na liście OPP w rozliczeniu PIT.
✅ Wpisz nasz numer KRS 00 00 353 888 w deklaracji PIT.
Dla Ciebie to rubryka. Dla nich szansa, by przetrwać najgorsze.