
Kochani, kolejne chore łapy potrzebują naszej pomocy.
Jakoś już tak mamy, że jak trafia do nas pies, to nie udajemy że nie widzimy, że kuleje, że go boli. Badamy, diagnozujemy, dbamy jak o własne. Od 17 lat mówimy, że tworzymy rodzinę. A nasze psy to jej członkowie. A o rodzinę się dba.
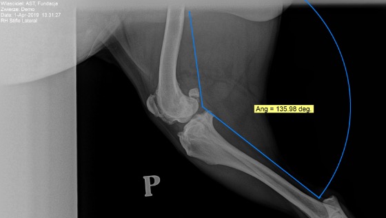
Jutro operacji rekonstrukcji zerwanego więzadła krzyżowego zostanie poddany DEMO. Pies ma rotacje piszczeli w obu łapach + oba zerwane więzadła krzyżowe. Wymaga operacji na oba kolana :( Będzie operowany metodą TPLO - konsultowaną u dwóch ortopedów. Będzie miał wszczepianą dłuższą płytę, stąd wyższy niż przeciętny koszt operacji. Na razie zajmiemy się prawą łapą a po wygojeniu lewą.
Zachęcamy Was po raz kolejny do podzielenia się dobrem. Odmieńmy kolejne zmarnowane życie.
Demo ma 8 lat, jest dużym amstaffem, skrzywdzonym przez człowieka wpierw ucięciem uszu, które dziś wręcz straszą, później nieleczeniem... dobry pies... a z pechem. Apelujemy od wielu miesięcy o dom dla niego.... bezskutecznie. To dla nas niezwykle przykre, że pies o normalnym charakterze nie jest doceniany. Ale kiedyś i jego los się odmieni. <3 Na dziś choć łapy go nie będą boleć.
Zbieramy 3 tys zł na operację TPLO która jutro jest planowana.
----------------Demo jest już po udanej operacji. Było trudno z uwagi na rotację piszczeli ale z sukcesem.
Poniżej FV za zabieg. Najbliższe dni to nasze wizyty u weta. Będziemy doklejać więc kolejne rachunki.












Twoje słowa mają moc pomagania! Wpłać darowiznę i przekaż kilka słów wsparcia 🤲
Uważasz, że ta zbiórka zawiera niedozwolone treści ? Napisz do nas


Gdy świat się wali, dajemy nadzieję ❤️ Pomagamy chorym i bezdomnym zwierzętom, ratujemy je w sytuacjach kryzysowych np. w czasie mrozów lub powodzi oraz wspieramy schroniska 🏠🐾
Jak odmienić los tysięcy potrzebujących za darmo?
✅ Wybierz Fundacja Pomagam.pl na liście OPP w rozliczeniu PIT.
✅ Wpisz nasz numer KRS 00 00 353 888 w deklaracji PIT.
Dla Ciebie to rubryka. Dla nich szansa, by przetrwać najgorsze.
Anonimowy Darczyńca
Zdrowiej, Kochany*) Człowieki, znajdź się i zabierz Demo do siebie.
Małgorzata Wieczorkiewicz
Miałam Tosię ze schroniska... też miała zerwane dwa więzadła, daliśmy radę, doktor Bissenik zrobił swoje:) Toska sprawna i szczęśliwa jeszcze długo dawała nam radość. Niech Demo też jej zazna i da ja innym! Ludzie wpłacajcie!!!
Anonimowy Darczyńca
Trzymamy kciuki !