
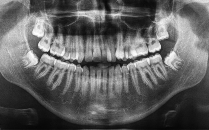
Jestem samotną matką pracujaca na etacie. Ostatnio dowiedziałam się jak poważną wadę zgryzu mają obaj moi synowie. Dzieci wymagają szybkiego leczenia ortodontycznego niestety z racji wieku nie kwalifikują się już do aparatów refundowanych. Obaj synowie z racji wieku a starszy dodatkowo z tytułu zaawansowania wady zgryzu. Zbieram tylko na aparaty koszty wizyt i dodatkowych zabiegów pokrywam z swoich środków
Każda złotówka się liczy
Proszę o pomoc


Gdy świat się wali, dajemy nadzieję ❤️ Wspieramy chorych w pozyskaniu środków na leczenie, pomagamy zwierzętom i reagujemy natychmiast w pilnych sytuacjach kryzysowych 🚨
Jak odmienić los tysięcy potrzebujących za darmo?
✅ Wybierz Fundacja Pomagam.pl na liście OPP w rozliczeniu PIT.
✅ Wpisz nasz numer KRS 00 00 353 888 w deklaracji PIT.
Dla Ciebie to rubryka. Dla nich szansa, by przetrwać najgorsze.