
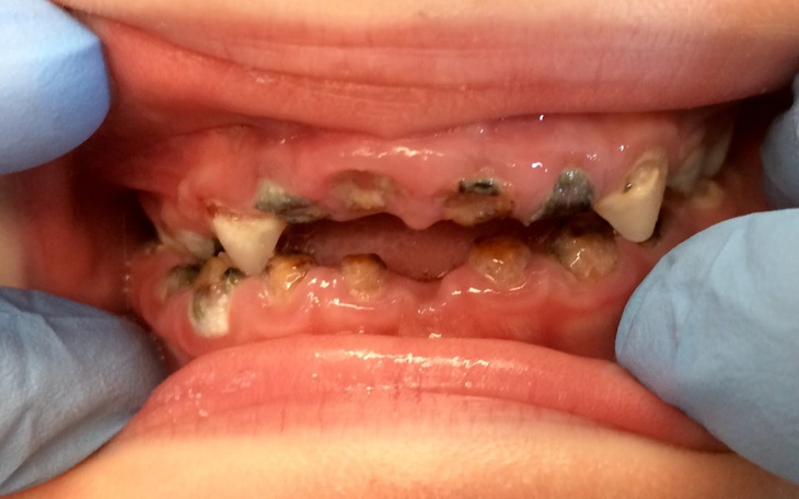
Błażej jest moim kolegą od dziecka. Pieniądze które uzyskam ze zbiórki zostaną przeznaczone na częściowe leczenie jego zebów. Bardzo chciałbym mu pomóc A sam nie jestem w stanie dać mu takiej kwoty . Z góry dziękuję za pomoc


Gdy świat się wali, dajemy nadzieję ❤️ Wspieramy chorych w pozyskaniu środków na leczenie, pomagamy zwierzętom i reagujemy natychmiast w pilnych sytuacjach kryzysowych 🚨
Jak odmienić los tysięcy potrzebujących za darmo?
✅ Wybierz Fundacja Pomagam.pl na liście OPP w rozliczeniu PIT.
✅ Wpisz nasz numer KRS 00 00 353 888 w deklaracji PIT.
Dla Ciebie to rubryka. Dla nich szansa, by przetrwać najgorsze.