
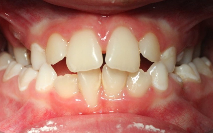
Cześć! Nazywam się Dawid i mam 16 lat . Zbieram pienadze na leczenie mojego uzębienia ponieważ jest ono bardzo krzywe, przeszkadza mi podczas mówienia oraz przez moje żeby jest mi dość ciężko poznawać nowe osoby bo wygalda to dość odpychająco.Koszt założenia aparatu to 4500+ opłata za wizytę co miesiąc ( 200 zł ). Jestem wdzięczny za każde nawet najmniejsze wsparcie.Jesli to czytasz to proszę zostaw chociaż grosik.


Gdy świat się wali, dajemy nadzieję ❤️ Wspieramy chorych w pozyskaniu środków na leczenie, pomagamy zwierzętom i reagujemy natychmiast w pilnych sytuacjach kryzysowych 🚨
Jak odmienić los tysięcy potrzebujących za darmo?
✅ Wybierz Fundacja Pomagam.pl na liście OPP w rozliczeniu PIT.
✅ Wpisz nasz numer KRS 00 00 353 888 w deklaracji PIT.
Dla Ciebie to rubryka. Dla nich szansa, by przetrwać najgorsze.