Karol Karol
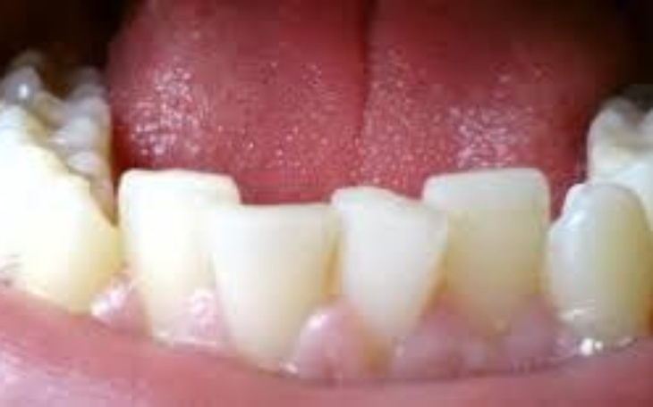
Zbieram na aparat na zęby mam bardzo problemy z zębami zbieram na aparat prisze o pomoc

Mam problemy z zębami mam krzywe i potrzebuje aparatu bardzo proszę o pomoc każdą jaka jest możliwa
Zbieram na aparat na zęby mam bardzo problemy z zębami zbieram na aparat prisze o pomoc


Gdy świat się wali, dajemy nadzieję ❤️ Wspieramy chorych w pozyskaniu środków na leczenie, pomagamy zwierzętom i reagujemy natychmiast w pilnych sytuacjach kryzysowych 🚨
Jak odmienić los tysięcy potrzebujących za darmo?
✅ Wybierz Fundacja Pomagam.pl na liście OPP w rozliczeniu PIT.
✅ Wpisz nasz numer KRS 00 00 353 888 w deklaracji PIT.
Dla Ciebie to rubryka. Dla nich szansa, by przetrwać najgorsze.