Karolina Gleinert
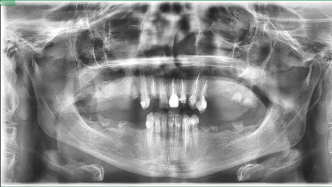
Na podstawie zdjęcia pantomograficznego uzębienia stwierdzono konieczność odbudowy 6–8 koron protetycznych. Szacunkowy koszt planowanego leczenia wynosi około 15 000 zł.


🎁✨ Zbliża się magiczny czas Gwiazdora
To wyjątkowy moment, by podarować najcenniejszy dar — zdrowie dla Karoliny.
Każdy z nas może dołożyć swoją cegiełkę i wspólnie sprawić, że wydarzy się prawdziwy, świąteczny cud. ⭐
Karolina zbiera środki na leczenie oraz odbudowę zębów, które są niezbędne, by mogła normalnie funkcjonować, uśmiechać się bez wstydu i odzyskać komfort codziennego życia.
💖 Twoje wsparcie ma ogromną moc.
Każda, nawet najmniejsza wpłata, przybliża Karolinę do zdrowia i lepszego jutra.
🙏 Dołącz do nas i pomóż odmienić jej codzienność.
Na podstawie zdjęcia pantomograficznego uzębienia stwierdzono konieczność odbudowy 6–8 koron protetycznych. Szacunkowy koszt planowanego leczenia wynosi około 15 000 zł.



Gdy świat się wali, dajemy nadzieję ❤️ Wspieramy chorych w pozyskaniu środków na leczenie, pomagamy zwierzętom i reagujemy natychmiast w pilnych sytuacjach kryzysowych 🚨
Jak odmienić los tysięcy potrzebujących za darmo?
✅ Wybierz Fundacja Pomagam.pl na liście OPP w rozliczeniu PIT.
✅ Wpisz nasz numer KRS 00 00 353 888 w deklaracji PIT.
Dla Ciebie to rubryka. Dla nich szansa, by przetrwać najgorsze.