
Pomóż naszemu ukochanemu przyjacielowi - zbiórka na leczenie dysplazji stawu biodrowego!
Kochani Przyjaciele,
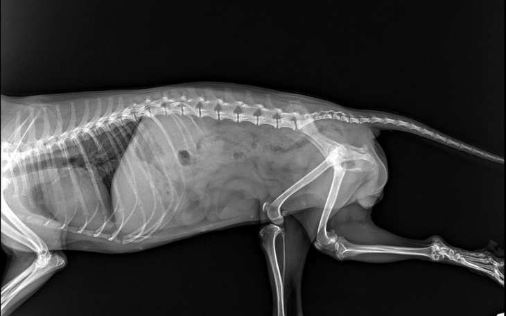
Zwracam się do Was z prośbą o pomoc dla naszego wspaniałego, czterołapego przyjaciela, który w tych trudnych chwilach potrzebuje naszej miłości i wsparcia. Nasz ukochany pies, Molly zmaga się z poważną chorobą – dysplazją stawu biodrowego. Jest to bolesna dolegliwość, która ogranicza jego ruchy i sprawia, że każdy krok to dla niego ogromny wysiłek.
Molly to wyjątkowy pies. Jej radosne oczy i merdający ogon zawsze dodają nam otuchy i wypełniają nasz dom miłością. Niestety, jej stan zdrowia się pogarsza i potrzebuje natychmiastowego leczenia, aby móc znowu biegać i cieszyć się życiem bez bólu.
Leczenie dysplazji stawu biodrowego jest kosztowne. Potrzebujemy zebrać 6 tysięcy złotych na operację i rehabilitację, która przywróci Molly zdrowie i sprawność. Każda, nawet najmniejsza wpłata, jest dla nas na wagę złota i przybliża nas do celu, jakim jest uratowanie naszego psa od cierpienia.
Prosimy, otwórzcie swoje serca i pomóżcie nam uzbierać potrzebne środki. Wasze wsparcie może zmienić życie naszego ukochanego przyjaciela i sprawić, że znów będzie mógł cieszyć się każdym dniem bez bólu.
Dziękujemy z całego serca za każdą pomoc.
Z wyrazami wdzięczności,
Iza i Molly
Uważasz, że ta zbiórka zawiera niedozwolone treści ? Napisz do nas


Gdy świat się wali, dajemy nadzieję ❤️ Pomagamy chorym i bezdomnym zwierzętom, ratujemy je w sytuacjach kryzysowych np. w czasie mrozów lub powodzi oraz wspieramy schroniska 🏠🐾
Jak odmienić los tysięcy potrzebujących za darmo?
✅ Wybierz Fundacja Pomagam.pl na liście OPP w rozliczeniu PIT.
✅ Wpisz nasz numer KRS 00 00 353 888 w deklaracji PIT.
Dla Ciebie to rubryka. Dla nich szansa, by przetrwać najgorsze.