
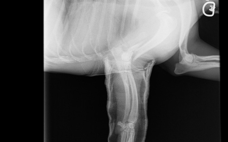
Zbieram na swojego psa, który doznał poważnych problemów z lapka. Sytuacja jest dynamiczna. Niedługo kosztowne leczeniena które zbieram.


Gdy świat się wali, dajemy nadzieję ❤️ Pomagamy chorym i bezdomnym zwierzętom, ratujemy je w sytuacjach kryzysowych np. w czasie mrozów lub powodzi oraz wspieramy schroniska 🏠🐾
Jak odmienić los tysięcy potrzebujących za darmo?
✅ Wybierz Fundacja Pomagam.pl na liście OPP w rozliczeniu PIT.
✅ Wpisz nasz numer KRS 00 00 353 888 w deklaracji PIT.
Dla Ciebie to rubryka. Dla nich szansa, by przetrwać najgorsze.