
Witam mam na imię Marek
Od urodzenia mieszkałem z dziadkami bo mama mnie oddała dziadkom na wychowanie. Po ukończeniu 18 roku życia zostałem wyrzucony na bruk i kazano mi jakoś zarabiać na siebie przez co musiałem rzucić szkołę i nie tylko to.
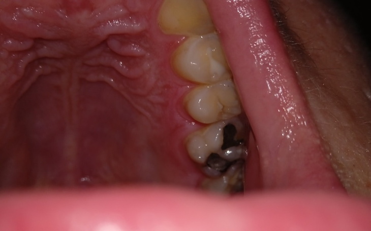
Aktualnie zbieram pieniądze na dentystę ponieważ mam problemy z zębami jak widać na zdjęciu. Proszę o szybką pomoc bo wizytę mam już w poniedziałek🥺


Gdy świat się wali, dajemy nadzieję ❤️ Wspieramy chorych w pozyskaniu środków na leczenie, pomagamy zwierzętom i reagujemy natychmiast w pilnych sytuacjach kryzysowych 🚨
Jak odmienić los tysięcy potrzebujących za darmo?
✅ Wybierz Fundacja Pomagam.pl na liście OPP w rozliczeniu PIT.
✅ Wpisz nasz numer KRS 00 00 353 888 w deklaracji PIT.
Dla Ciebie to rubryka. Dla nich szansa, by przetrwać najgorsze.