
Witajcie ludzie o dobrym sercu ♥
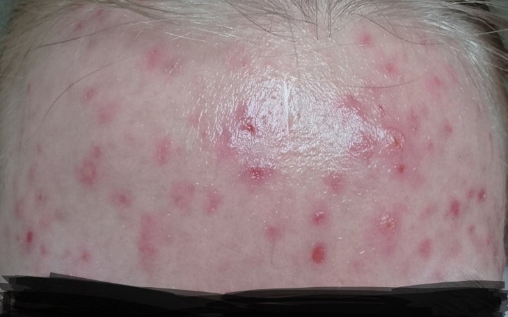
Mam na imię Klara i zbieram pieniądze na leczenie dla mojej przyjaciółki, która od 8 lat boryka się z okropnym problemem skornym jakim są ciężka postać trądziku i atopowe zapalenie skóry.
Przez 8 lat ciągłych wizyt u wszelkiego rodzaju lekarzy, dermatologów, kosmetologów oraz korzystaniu z wszelkich porad naturalnej (ziołowej itd.) terapii skóry, moja przyjaciółka bezustannie zmuszona jest wydawać ogromne sumy pieniędzy na lekarstwa.
Niestety, koszta te ciągle rosną, a mojej przyjaciółce skończyły się środki na dalsze leczenie skóry, co poskutkowalo głęboką depresją i odcięciem się od świata zewnętrznego i ludzi. Przestała spotykać się z innymi ludźmi, nie wychodzi w ogóle z domu, a jej samoocena straszliwie podupadła.
Moja przyjaciółka jest mi bardzo bliska, traktuję ją jak członka swojej rodziny, więc tymbardziej boli mnie serce, gdy widzę jak gaśnie z dnia na dzień coraz bardziej. Sama nie jestem w stanie dostatecznie jej pomóc finansowoii serce mnie boli, gdy widzę jak odcina się od całego świata tracąc przy tym nadzieję na wyzdrowienie.
Dlatego zwracam się o pomoc do Was, ludzi o dobrym sercu, którzy wsparliby tą bardzo ważną dla mnie i mojej przyjaciółki zbiórkę. Wszystkie zebrane w niej pieniądze zostaną przeznaczonenna lekarstwa, terapie i kuracje skórne. Za każdy, nawet najmniejszy datek będę Wam ogromnie wdzięczna, bo wiem, że przyczyni się on do szczęścia bardzo bliskiej mi osoby ♥
Z góry Wam dziękuję, Kochani, i życzę Wam by Wasza dobroć wróciła do Was po trzykroć większa ♥♥♥


Gdy świat się wali, dajemy nadzieję ❤️ Wspieramy chorych w pozyskaniu środków na leczenie, pomagamy zwierzętom i reagujemy natychmiast w pilnych sytuacjach kryzysowych 🚨
Jak odmienić los tysięcy potrzebujących za darmo?
✅ Wybierz Fundacja Pomagam.pl na liście OPP w rozliczeniu PIT.
✅ Wpisz nasz numer KRS 00 00 353 888 w deklaracji PIT.
Dla Ciebie to rubryka. Dla nich szansa, by przetrwać najgorsze.