


Gino błaga o pomoc – bez operacji nie będzie mógł żyć normalnie
Kochani, serce nam pęka, gdy patrzymy na naszego Gino – jeszcze niedawno pełnego energii, radosnego psa, który kocha życie i ludzi. Teraz każdy krok sprawia mu ogromny ból…
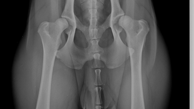
Gino ma zaledwie 1,6 roku i już musi stoczyć najtrudniejszą walkę. Zdiagnozowano u niego ciężką dysplazję stawów biodrowych. Bez pilnej operacji nie będzie mógł normalnie funkcjonować – nie pobiegnie, nie wskoczy na kanapę, nie przywita nas merdając ogonem. Nie chcemy, by jego świat ograniczył się do bólu i cierpienia…
Koszt operacji jest ogromny – jedno biodro to 7,5-8 tysięcy euro. To suma, której sami nie jesteśmy w stanie pokryć. Dlatego błagamy Was o pomoc. Każda złotówka to szansa dla Gino na życie bez bólu.
Jeśli nie możesz wpłacić – prosimy, udostępnij. Każda pomoc ma znaczenie!
Z całego serca dziękujemy za każdą formę wsparcia!
Uważasz, że ta zbiórka zawiera niedozwolone treści ? Napisz do nas


Gdy świat się wali, dajemy nadzieję ❤️ Pomagamy chorym i bezdomnym zwierzętom, ratujemy je w sytuacjach kryzysowych np. w czasie mrozów lub powodzi oraz wspieramy schroniska 🏠🐾
Jak odmienić los tysięcy potrzebujących za darmo?
✅ Wybierz Fundacja Pomagam.pl na liście OPP w rozliczeniu PIT.
✅ Wpisz nasz numer KRS 00 00 353 888 w deklaracji PIT.
Dla Ciebie to rubryka. Dla nich szansa, by przetrwać najgorsze.