
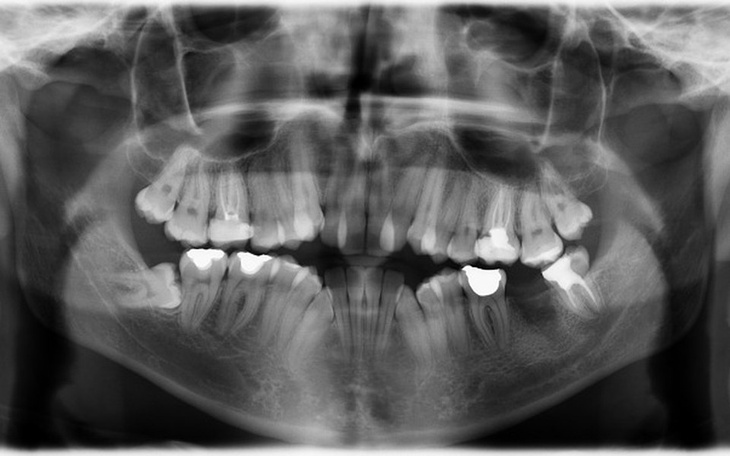
Cześć wszystkim. Mam na imię Kamil. Jestem dwudziestoletnim studentem z Lublina. Założyłem tę zbiórkę z nadzieją, że przy Waszej wspólnej pomocy uda mi się pokonać moje lęki, wstyd, strach i niepewność. Moim problemem jest konieczność założenia aparatu ortodontycznego. Oprócz znacząco widocznych, krzywo rosnących zębów z przodu, cierpię również na zgryz otwarty częściowy przedni, a także tyłozgryz, przez co rysy mojej twarzy nie są do końca naturalne, przez cofniętą dolną szczękę. Muszę przyznać, że o ile sama część leczenia ortodontycznego jest jasna i klarowna, o tyle czeka mnie również jeszcze leczenie stomatologiczne. Niestety odkąd byłem mały, nie miałem zbytnio szczęścia do stomatologów, którzy przez niedbałość zamiast leczyć moje zęby tylko pogarszali sprawę. Moje kompleksy ze względu na krzywe zęby występują już od czasów podstawówki, gdzie nieraz mogłem spotkać się z nieprzyjemnymi spojrzeniami w moją stronę z tego powodu. Nieukrywam, że obecnie staram się kryć moją wadę jak tylko mogę, otwierając buzię jak najmniej mogę, ale powoduje to, że mówię coraz to bardziej niewyraznie, a także seplenię. Chiałbym już raz na zawsze skończyć ten etap, zwłaszcza w momencie życia, w którym jestem gdzie kontakty międzyludzkie są bardzo ważne, a w moim przypadku są one zaburzone, bo po prostu się wstydzę. Obecnie uczęszczam do jednego z najlepszych ortodontów w Polsce, lecz nieukrywam, że wraz z profesjonalizmem, idą wysokie koszta zabiegów. Jedna wizyta stomatologiczna kosztuje mnie conajmniej 300 złotych, a czeka mnie takich jeszcze 5 lub 6. Potem dochodzi już leczenie ortodontyczne. 200 złotych za każdą wizytę kontrolną co 8 tygodni no i sam aparat. Udało mi się samemu już częściowo na niego zarobić, ale w stosunku do całego kosztu leczenia jest to niewiele. Bardzo prosiłbym o Waszą pomoc. Jest to dla mnie szczególnie istotne, ponieważ chciałbym bardzo przeżyc moment, w którym będę miał już upragniony aparat na zęby. Umieścilem tutaj tylko zdjęcie tomograficzne moich zębów. Jeśli jednak ktoś zainteresowany jest obejrzeniem zdjęć pokazujących moją wadę na zdjęciach, jestem w stanie wysłać je na e-mail'a.
Pozdrawiam wszystkich i serdecznie dziękuje za każdą pomoc :) Mam nadzieję, że uda się dotrzeć do upragnionego dla mnie celu dzięki Wam.
Uważasz, że ta zbiórka zawiera niedozwolone treści ? Napisz do nas


Gdy świat się wali, dajemy nadzieję ❤️ Wspieramy chorych w pozyskaniu środków na leczenie, pomagamy zwierzętom i reagujemy natychmiast w pilnych sytuacjach kryzysowych 🚨
Jak odmienić los tysięcy potrzebujących za darmo?
✅ Wybierz Fundacja Pomagam.pl na liście OPP w rozliczeniu PIT.
✅ Wpisz nasz numer KRS 00 00 353 888 w deklaracji PIT.
Dla Ciebie to rubryka. Dla nich szansa, by przetrwać najgorsze.