

Mam na imię Lucky, choć moje życie nie zaczęło się szczęśliwie, trafiłem w dobre ręce. Dobre ręce, które jednak teraz też potrzebują wsparcia, by móc dalej mi pomagać.
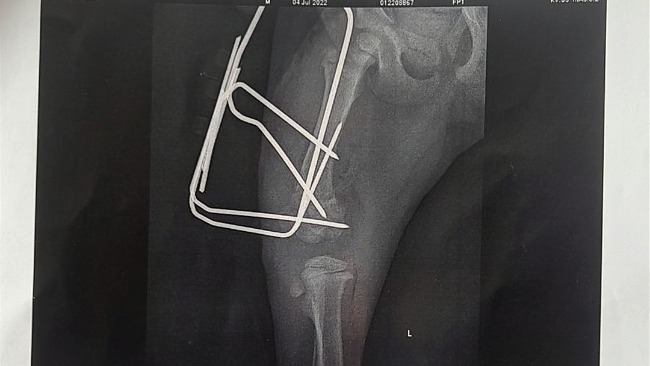
Kupili mnie ludzie, którzy chcieli bardzo mieć takiego przystojniaka jak ja, ale miałem wypadek, bawiąc się spadłem z tarasu na 2 piętrze, złamałem sobie nóżkę, moi właściciele zabrali mnie do kliniki, mam teraz taką metalową nóżkę i nie mogę się już bawić jak kiedyś. 😔 Ale najgorsze jest to że moi właściciele już mnie nie chcą 😥.
Dużo podróżują, więc oddali mnie pod opiekę do hotelu dla zwierząt. Nie miałem jeszcze imienia, ale od tego momentu jestem Lucky, bo w końcu jestem Kochany 🥰.
Pani z hotelu powiedziała mi, że jestem najsłodszym szczeniakiem jakiego widziała, i choć kuleję na jedną nóżkę, a z niej wystają jakieś metalowe druty, pokochała mnie i mówi że nie pozwoli bym trafił do jakiegoś "schroniska" - nie wiem, co to jest, ale to chyba nic dobrego. I tutaj potrzebne jest wsparcie, muszę nadal jeździć do kliniki, by wyleczyli moją nóżkę a to kosztuje trochę pieniędzy, a mojej nowej Pani na to nie stać, dlatego organizujemy zbiórkę, bym znów mógł się bawić jak kiedyś :)
Pomóż mi wrócić do zdrowia, bo szczęście już znalazłem.






Uważasz, że ta zbiórka zawiera niedozwolone treści ? Napisz do nas


Gdy świat się wali, dajemy nadzieję ❤️ Pomagamy chorym i bezdomnym zwierzętom, ratujemy je w sytuacjach kryzysowych np. w czasie mrozów lub powodzi oraz wspieramy schroniska 🏠🐾
Jak odmienić los tysięcy potrzebujących za darmo?
✅ Wybierz Fundacja Pomagam.pl na liście OPP w rozliczeniu PIT.
✅ Wpisz nasz numer KRS 00 00 353 888 w deklaracji PIT.
Dla Ciebie to rubryka. Dla nich szansa, by przetrwać najgorsze.