

Mam na imię Daniel. Mam 37 lat. Od dawna mam problem z zębami są bardzo słabe. Ze względu na braki w uzębieniu wstydzę się rozmawiać z ludźmi. Z tego powodu mam również trudności ze znalezieniem pracy. Gdy sobie pomyśle, że mam iść na rozmowę kwalifikacyjną i rozmawiać to jest to dla mnie bardzo stresujące. Na dodatek stwierdzono u mnie bruksizm jest to zgrzytanie zębami przez co pojawiają się u mnie częste bóle głowy i przeskakiwanie żuchwy przy szeroki otwieraniu ust. Mam również bóle w okolicy oczodołów, okresowe nieostre widzenie i uczucie wysadzenia oka. Ostatnio pojawiają się także objawy ze strony słuchu, szumy w uszach i zaburzenia równowagi. Długotrwałe napięcie szczęki i mięśni które często skutkuje przewlekłym bólem głowy i szyi, Do tego męczy mnie depresja i obawa przed przyszłością.
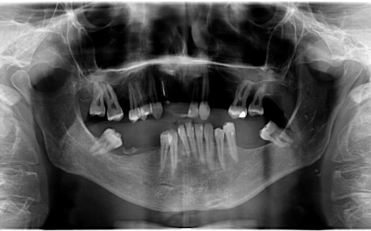
Każda wizyta u stomatologa to koszt od 200-300zł prywatnie. Mam do wyleczenia wszystkie zęby. Parę zębów ma do leczenia kanałowego.Jak widać na załączonym zdjęciu parę zębów utraciłem, ponieważ nie nadawały się do leczenia :( Pani stomatolog stwierdziła, że będzie przymusowa proteza w moim przypadku. Jak wiadomo jest to dość duży koszt.
Kochani każda pomoc bardzo dużo dla mnie znaczy i będę niezmiernie wdzięczny.



Gdy świat się wali, dajemy nadzieję ❤️ Wspieramy chorych w pozyskaniu środków na leczenie, pomagamy zwierzętom i reagujemy natychmiast w pilnych sytuacjach kryzysowych 🚨
Jak odmienić los tysięcy potrzebujących za darmo?
✅ Wybierz Fundacja Pomagam.pl na liście OPP w rozliczeniu PIT.
✅ Wpisz nasz numer KRS 00 00 353 888 w deklaracji PIT.
Dla Ciebie to rubryka. Dla nich szansa, by przetrwać najgorsze.