
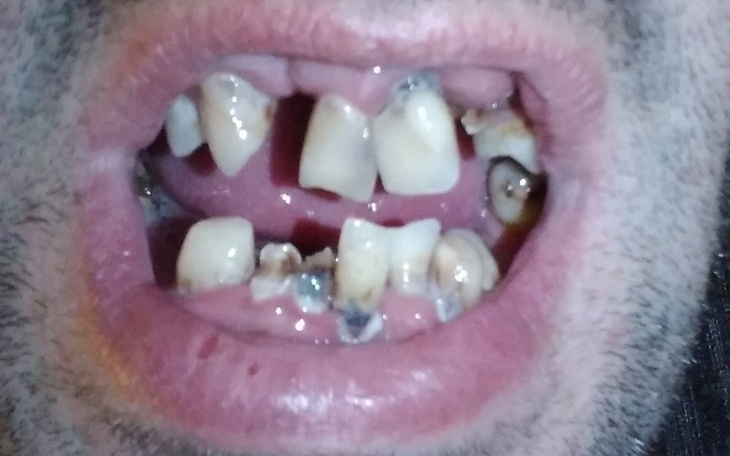
Hej, moja historia zaczyna się w latach 90' gdy jako dziecko rodzice zabrali mnie do Pani dentystki. Niestety jak to na tamte czasy, zabieg bez znieczulenia, który sprawił mi tyle bólu, że w głowie powstała blokada. Mając jeszcze zęby mleczne, zaczęły rosnąć właściwe i powychodziły krzywo :-( tak się ich wstydziłem, że przestałem dbać o nie...Czego niestety są teraz skutki. Obecnie muszę uważać podczas posiłków by nie złamać któregoś z tych co pozostały. Mam 33 lata i nadal jestem kawalerem. Mimo tego dużego serducha pełnego miłości przez ten brak uśmiechu wstydzę się nawiązywać nowych znajomości :-((
Założyłem tutaj konto bo to naprawdę moja ostatnia deska ratunku. A będąc samemu jest mi naprawdę ciężko uzbierać na protezę. Wiem, że ludzi dobrej woli nie brak dlatego proszę o pomoc.


Gdy świat się wali, dajemy nadzieję ❤️ Wspieramy chorych w pozyskaniu środków na leczenie, pomagamy zwierzętom i reagujemy natychmiast w pilnych sytuacjach kryzysowych 🚨
Jak odmienić los tysięcy potrzebujących za darmo?
✅ Wybierz Fundacja Pomagam.pl na liście OPP w rozliczeniu PIT.
✅ Wpisz nasz numer KRS 00 00 353 888 w deklaracji PIT.
Dla Ciebie to rubryka. Dla nich szansa, by przetrwać najgorsze.