
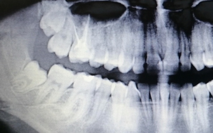
Dzień dobry, jestem młodą osobą która od prawie roku nie zaznała uśmiechu na twarzy i chęci do życia. Niestety jestem zmuszona prosić o pomoc. Od kwietnia 2021r zmagam się z dużym problemem związanym z zębami. Od usuwania ósemek, leczenia kilku zębów kanałowo aż po plomby. Niestety problem jest rozległy w miedzy czasie uczęszczam na rehabilitację stawów skroniowo-żuchwowych i zakładanie szyny relaksacyjnej. Niestety już nie jestem w stanie poradzic sobie finansowo na dalsze leczenie a ból wcale nie ustępuje i się nie zmniejsza.


Gdy świat się wali, dajemy nadzieję ❤️ Wspieramy chorych w pozyskaniu środków na leczenie, pomagamy zwierzętom i reagujemy natychmiast w pilnych sytuacjach kryzysowych 🚨
Jak odmienić los tysięcy potrzebujących za darmo?
✅ Wybierz Fundacja Pomagam.pl na liście OPP w rozliczeniu PIT.
✅ Wpisz nasz numer KRS 00 00 353 888 w deklaracji PIT.
Dla Ciebie to rubryka. Dla nich szansa, by przetrwać najgorsze.