
Dzień dobry, cześć i czołem. Długo się zastanawiałem, czy w ogóle zaczynać z czymś takim. Od najmłodszych lat byłem mądrzejszy od wszystkich naokoło i nie dbałem o uzębienie, nie myłem zębów, nie chodziłem na kontrole itp.
Zrozumiałem to nieco za późno, kiedy ilość ubytków i problemów jest już tak duża, że myciem i godziną u dentysty tego nie cofnę. Tutaj potrzebne jest dużo więcej godzin spędzonych na wygodnym fotelu.
Jednak tutaj pojawia się podstawowy problem, niektóre z zębów trzeba wyrwać, inne tylko wyleczyć... Lecz niezależnie od tego, co trzeba z nimi zrobić jest pewna kwestia, którą ciężko mi przeskoczyć - strach. Każdy się czegoś boi, ja boję się bólu związanego z wizytą u dentysty. Niestety znieczulenie miejscowe na mnie nie działa tak, jak powinno.
Stąd ta zbiórka i moja prośba - uznałem, że najlepszym wyjściem w tej sytuacji jest znieczulenie ogólne tzw. narkoza, jednak nie należy ona do najtańszych zabiegów. Podana przeze mnie kwota jest kwotą orientacyjną, takim minimum jakie zakładam patrząc po cenach w gabinetach stomatologicznych, gdzie koszt narkozy niejednokrotnie sięga blisko tysiąc złotych, a to są kwoty, które w chwili obecnej są poza moim zasięgiem. A ząbki żyją dalej swoim życiem i ich stan nie chce się sam polepszyć.
Wierzę w siłę internetu i wiem, że jest tu dużo ludzi skłonnych pomóc mi przestać się wstydzić uśmiechać i którzy rozumieją, że strach przed dentystą potrafi być czasem paraliżujący.
Z góry dziękuję za każdą wpłatę i wysyłam szczery uśmiech moimi jeszcze nie do końca zdrowymi ząbkami... Wierzę, że z waszą pomocą to się zmieni i będę mógł się cieszyć zdrowym uśmiechem :)
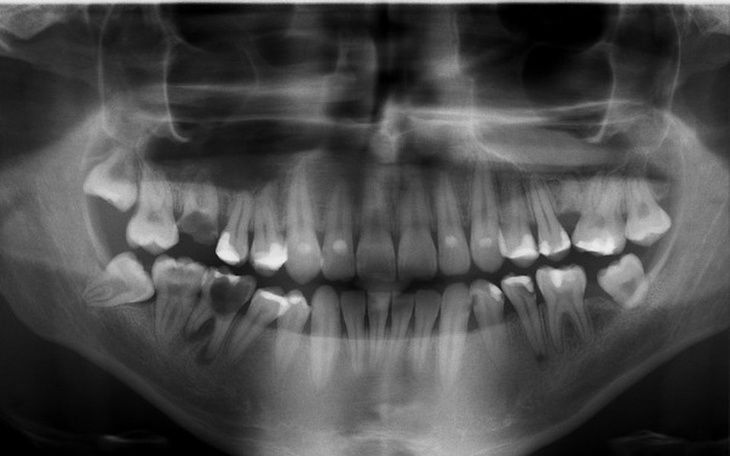
P.S. Zdjęcie zbiórki to mój rentgen
Uważasz, że ta zbiórka zawiera niedozwolone treści ? Napisz do nas


Gdy świat się wali, dajemy nadzieję ❤️ Wspieramy chorych w pozyskaniu środków na leczenie, pomagamy zwierzętom i reagujemy natychmiast w pilnych sytuacjach kryzysowych 🚨
Jak odmienić los tysięcy potrzebujących za darmo?
✅ Wybierz Fundacja Pomagam.pl na liście OPP w rozliczeniu PIT.
✅ Wpisz nasz numer KRS 00 00 353 888 w deklaracji PIT.
Dla Ciebie to rubryka. Dla nich szansa, by przetrwać najgorsze.