
Na ile można wycenić kocie życie? My widzimy tylko jedną granicę: możliwości finansowe osób, które o to życie chcą walczyć z całego serca.
Pod tą najtrudniejszą finansową ścianą stanęły Magda z Pauliną. A po drugiej jej stronie czekał Sonic. Nie było możliwości by w tej sytuacji powiedzieć Sonicowi: Nie damy już rady. I my to bardzo dobrze rozumiemy. Bo po tym, co przeszedł ledwie roczny Soniczek poprostu nie można było nie dać mu szansy na nowe, lepsze życie. Poprostu życie.

Młodziutki Sonic jest byłym tymczasowiczem naszej fundacji. Zabrany ze schroniska jako mały, osłabiony kociak z problemami neurologicznymi, w swoim domu tymczasowym został już na stałe <3
Z oficjalną adopcją czekaliśmy do momentu, aż stan zdrowia Sonica będzie lepszy i stabilny. I tak było, niestety zaledwie przez chwilę.
Jeszcze w grudniu 2025 roku jego problemy ze zdrowiem nasiliły się. Oprócz niezborności ruchowej, z którą mierzył się od samego początku, zaczęła trząść mu się główka i zrobił się bardzo ospały.
Zaniepokojone opiekunki Sonika szybko podjęły decyzję o zabraniu Sonica na badania, w lecznicy został na hospitalizacji.

Od tego momentu spadki samopoczucia Sonica zaczęły pojawiać się regularnie, za każdym razem kończyły się hospitalizacją. Po drodze Sonic zaliczył wiele badań i konsultacji: rezonans, kilka konsultacji neurologicznych, wprowadzenie sterydu. Wszystko to na dłuższą metę nie przynosiło skutku. Grudzień był czasem, w którym zamiast spokoju Sonic kilkukrotnie był hospitalizowany :(
W styczniu, na kolejnej już konsultacji neurologicznej okazało się, że Sonic ma ogromną infekcję w uszku. Dodatkowo okazało się, że Sonic choruje na toksoplazmozę. Natychmiast wprowadzono leczenie, po którym ogólne samopoczucie Sonica poprawiło się, jednak dalej mierzył się z ogromną spastycznością w tylnych łapkach.
Pomoc na ten problem poszukiwana była dalej. 
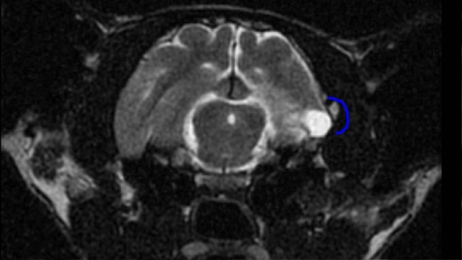
Tak Sonic trafił do dr Neurolog aż w Gdyni, która postawiła diagnozę: ogromny ropień, zakażenie bakteryjne, bardzo prawdopodobne ciało obce w główce i konieczność natychmiastowej operacji.
Tak naprawdę trudno było nawet "przespać się" z tą diagnozą, bo Sonic ostatnie dni przed operacją Sonic czuł się coraz słabiej, stracił apetyt, był dokarmiany.
Magda z Pauliną stanęły przed bardzo trudnym wyborem: ryzykowną i bardzo kosztowną operacją Sonica, polegającą na otwarciu puszki bębenkowej i trepanacji czaszki. Trudno jest nam sobie nawet wyobrazić emocjonalne koszty takiej decyzji :(
Koszt operacji wraz z hospitalizacją oszacowano na kwotę 12 000 - 15 000 zł. To już było ponad możliwości Magdy i Pauliny, które na dotychczasowe leczenie i konsultację Sonica wydały gigantyczne kwoty :(
Kwota operacji nas też zwaliła z nóg. Ale jak odmówić pomocy kotu, który pomimo tego jak bardzo ma pod górkę, tak mocno chce żyć?
Sonic jest już po operacji. Z uwagi na nasilające się problemy z oddychaniem w trakcie, trzeba było podzielić ją na dwie części. Miał opłukane okolice puszki bębenkowej, pobrany wycinek do histopatologii, Sonic przeżył.


Całkowity koszt operacji wraz z hospitalizacją wyniósł 13 727,00 zł.
To dla nas ogromna kwota, ale nie mogliśmy odmówić pomocy. Sonic żyje, to najważniejsze. Jego Opiekunki z wielką troską doglądają go teraz po operacji. Minie jeszcze wiele tygodni, nim będzie można ocenić efekty zabiegu. Już teraz jest lepiej, pod względem samopoczucia Sonic znów jest sobą. Wciąż mierzy się jednak ze spastycznością tylnych łapek, chodzi ostrożnie, bo całym przodem próbuje kompensować problemy z tylnymi łapkami. Za kilka miesięcy będzie można ocenić stopień poprawy i mocno trzymamy kciuki, by był on jak największy <3

Teraz jednak musimy poprosić Was o pomoc w opłaceniu operacji Sonica. Niemal 14 000 zł to ogromna kwota i bardzo prosimy o pomoc przy tak niespodziewanym dla naszej Fundacji wydatku. Za każde wsparcie będziemy ogromnie wdzięczni i z całego serca dziękujemy za całą Waszą dotychczasową pomoc. Jesteśmy naprawdę wzruszeni i wdzięczni, że wraz z Wami wciąż możemy pomagać.
Uważasz, że ta zbiórka zawiera niedozwolone treści ? Napisz do nas


Gdy świat się wali, dajemy nadzieję ❤️ Pomagamy chorym i bezdomnym zwierzętom, ratujemy je w sytuacjach kryzysowych np. w czasie mrozów lub powodzi oraz wspieramy schroniska 🏠🐾
Jak odmienić los tysięcy potrzebujących za darmo?
✅ Wybierz Fundacja Pomagam.pl na liście OPP w rozliczeniu PIT.
✅ Wpisz nasz numer KRS 00 00 353 888 w deklaracji PIT.
Dla Ciebie to rubryka. Dla nich szansa, by przetrwać najgorsze.