
Witam.
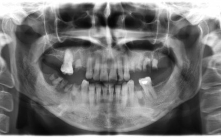
Mam na imię Natalia i mam 20lat. Od dziecka jestem chorowitą osobą. Rok temu stwierdzono u mnie paradontozę, gdzie na skutek choroby wypadło mi aż 6 zębów.
"Paradontoza to choroba tkanek przyzębia, której skutkiem może być utrata zębów. Terminem tym określa się wszelkie przewlekłe procesy zapalne dziąseł i głębiej znajdujących się tkanek."
Stomatolog powiedział, że w przeciągu 1,5 roku wypadną mi kolejne zęby. Dlatego proszę Was bardzo o pomoc. Zbieram na implanty, żeby móc się cieszyć pięknym uśmiechem.
Liczy się każdy gorsz.
Wszystkim serdecznie dziękuję!!!
Uważasz, że ta zbiórka zawiera niedozwolone treści ? Napisz do nas


Gdy świat się wali, dajemy nadzieję ❤️ Wspieramy chorych w pozyskaniu środków na leczenie, pomagamy zwierzętom i reagujemy natychmiast w pilnych sytuacjach kryzysowych 🚨
Jak odmienić los tysięcy potrzebujących za darmo?
✅ Wybierz Fundacja Pomagam.pl na liście OPP w rozliczeniu PIT.
✅ Wpisz nasz numer KRS 00 00 353 888 w deklaracji PIT.
Dla Ciebie to rubryka. Dla nich szansa, by przetrwać najgorsze.