Natalia Narewska
Zbiórka się zatrzymała, ale my się nie poddajemy!
Prosimy o udostępnienia!
Każda złotówka i każde udostępnienie zbliża nas do końca!
🐾🐾🐾🖤



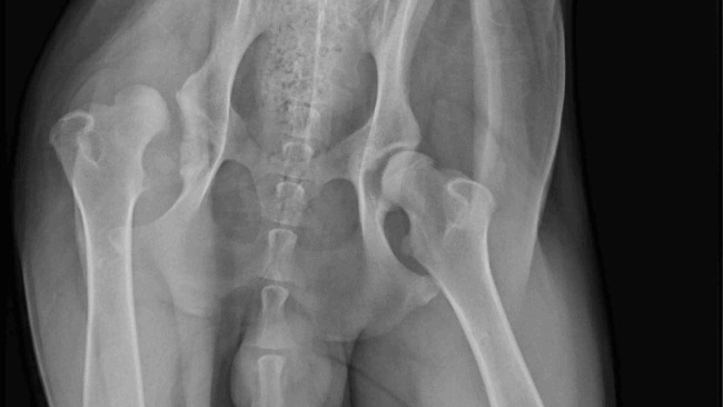
Cześć, nazywam się Berry, mam dopiero 10 miesięcy, jestem już 45 kg Bernardynem, lubię długie spacery, lubię dużo biegać i bawić się z moim rodzeństwem, niestety od dłuższego czasu bardzo cierpię, ponieważ stwierdzono u mnie ciężka wrodzona dysplazje lewego stawu biodrowego. To co lubię najbardziej sprawia mi ból, nie mogę dużo biegać i chodzić. Nigdy już nie będę normalnie chodził, jedyne co mogę to nie czuć bólu i móc normalnie funkcjować, jednak do tego jest potrzebna operacja, niestety jest ona bardzo kosztowna.

Proszę pomóżcie wrócić mi do życia bez bólu.



Zbiórka się zatrzymała, ale my się nie poddajemy!
Prosimy o udostępnienia!
Każda złotówka i każde udostępnienie zbliża nas do końca!
🐾🐾🐾🖤

Uważasz, że ta zbiórka zawiera niedozwolone treści ? Napisz do nas


Gdy świat się wali, dajemy nadzieję ❤️ Pomagamy chorym i bezdomnym zwierzętom, ratujemy je w sytuacjach kryzysowych np. w czasie mrozów lub powodzi oraz wspieramy schroniska 🏠🐾
Jak odmienić los tysięcy potrzebujących za darmo?
✅ Wybierz Fundacja Pomagam.pl na liście OPP w rozliczeniu PIT.
✅ Wpisz nasz numer KRS 00 00 353 888 w deklaracji PIT.
Dla Ciebie to rubryka. Dla nich szansa, by przetrwać najgorsze.