
Witam
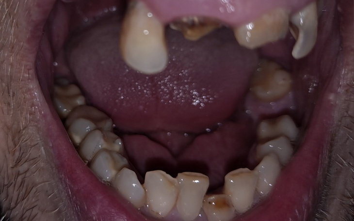
Jestem bratem Piotrka ( brat cioteczny) , który ma problem z zębami które wypadły od złamania zęba niestety nie stać go na leczenie więc postanowiłem stworzyć zbiórkę. Nigdy czegoś takiego nie robiłem więc przepraszam za opis dość ubogi. Jednocześnie proszę o jakąkolwiek pomoc dla niego ponieważ widzę jak z tym się męczy a nie stać go na leczenie. Dziękuje za pomoc.
Z góry dziękuję za każdą zlotwkę


Gdy świat się wali, dajemy nadzieję ❤️ Wspieramy chorych w pozyskaniu środków na leczenie, pomagamy zwierzętom i reagujemy natychmiast w pilnych sytuacjach kryzysowych 🚨
Jak odmienić los tysięcy potrzebujących za darmo?
✅ Wybierz Fundacja Pomagam.pl na liście OPP w rozliczeniu PIT.
✅ Wpisz nasz numer KRS 00 00 353 888 w deklaracji PIT.
Dla Ciebie to rubryka. Dla nich szansa, by przetrwać najgorsze.