
Witam nazywam się Krzysztof
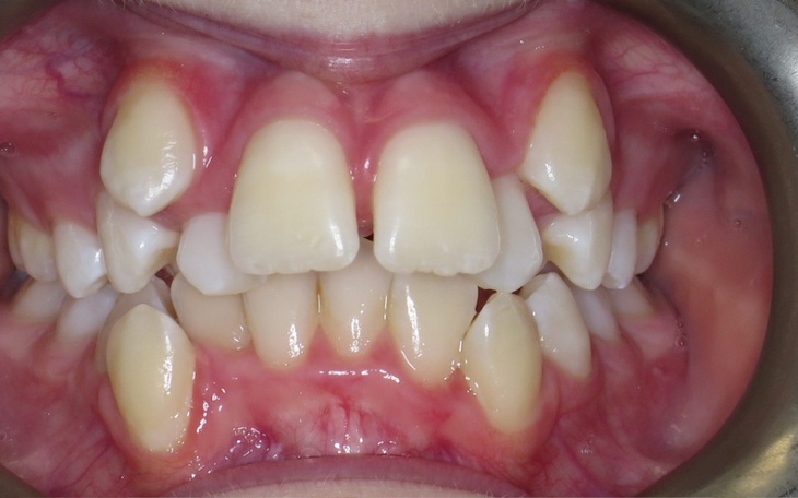
Od wielu lat zmagam z poważnymi problemami zgryzu, niestety ze względu na ciężką sytuację finansową, nie jestem wstanie pozwolić sobie na leczenie z własnej ręki, bardzo wstydzę się swojego uśmiechu i jest to źródłem moich kompleksów.Z góry dziękuję każdemu za nawet drobną pomoc ❤


Gdy świat się wali, dajemy nadzieję ❤️ Wspieramy chorych w pozyskaniu środków na leczenie, pomagamy zwierzętom i reagujemy natychmiast w pilnych sytuacjach kryzysowych 🚨
Jak odmienić los tysięcy potrzebujących za darmo?
✅ Wybierz Fundacja Pomagam.pl na liście OPP w rozliczeniu PIT.
✅ Wpisz nasz numer KRS 00 00 353 888 w deklaracji PIT.
Dla Ciebie to rubryka. Dla nich szansa, by przetrwać najgorsze.