Daria Chorąży
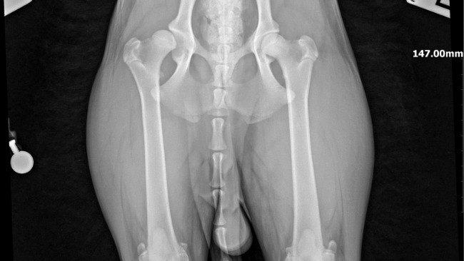
Dziś byliśmy z Pako na kontrolnej wizycie w klinice, gdzie przeprowadzono operację. Przyznamy szczerze – trochę się martwiliśmy. Mimo że minęło już półtora miesiąca, Pako nadal nie chodzi całkiem pewnie, czasami utyka, a my baliśmy się, czy wszystko goi się tak, jak powinno.
W przychodni zrobiono kontrolne RTG – na szczęście lekarz nas uspokoił. Powiedział, że wszystko wygląda dobrze, kość się goi, nie ma żadnych powikłań i nic nie powinno już boleć 🙏
Teraz najważniejsze to nie ustawać w rehabilitacji – ćwiczyć, wzmacniać mięśnie i pomagać Pako odbudować siłę w operowanej nodze. To długi proces, ale robimy wszystko, co w naszej mocy, by mu pomóc.
Dziękujemy, że jesteście z nami w tej drodze. Wasze wsparcie, dobre słowa i trzymane kciuki są dla nas ogromnie ważne! ❤️











Anonimowy Darczyńca
Trzymamy mocno kciuki❤️
Marta Kozłowska
Trzymam kciuki za Pako 🤗
Magdalena Mazińska
Trzymam kciuki 🥰