
Organizm Tiny jest dowodem tego, jak wygląda życie w takim miejscu. W pseudohodowli. Pomóż Jej.

Najgorsze dzieje się w jej uszach. Przewlekły stan zapalny trwał tak długo, że dziś nie jesteśmy w stanie nawet ocenić, co dzieje się głębiej. Kanały słuchowe są zaczopowane, zmienione chorobowo. Podejrzewamy grzybiczy stan zapalny, ale żeby to potwierdzić, konieczne jest specjalistyczne badanie videootoskopowe. Tina cierpi, nie wiemy nawet czy słyszy.

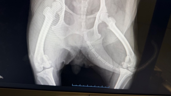
Tina kuleje. Każdy krok sprawia jej ból. Potrzebuje pilnej konsultacji ortopedycznej, bo jej kolano może być poważnie uszkodzone. Ona nie chodzi swobodnie, ona walczy o każdy ruch.

Jej pyszczek to kolejny dramat. Paradontoza w zaawansowanym stadium, zęby ruszają się i wypadają. Kamień nazębny pokrywa wszystko. To nie jest tylko problem estetyczny. To stały, przewlekły ból, z którym żyje każdego dnia.

Przed Tiną badania serca, konsultacja okulistyczna oraz laryngologiczna. Badania krwi, pełna profilaktyka to nasz standard. Dodatkowo czeka ją także sterylizacja, sanacja jamy ustnej.

Tina nigdy nie była ważna. Dziś po raz pierwszy ktoś o nią walczy.

Ale sami nie damy rady. Diagnostyka, leczenie, zabiegi to ogromne koszty, które nas przerastają. Dlatego prosimy o pomoc.
Twoje słowa mają moc pomagania! Wpłać darowiznę i przekaż kilka słów wsparcia 🤲
Uważasz, że ta zbiórka zawiera niedozwolone treści ? Napisz do nas


Gdy świat się wali, dajemy nadzieję ❤️ Pomagamy chorym i bezdomnym zwierzętom, ratujemy je w sytuacjach kryzysowych np. w czasie mrozów lub powodzi oraz wspieramy schroniska 🏠🐾
Jak odmienić los tysięcy potrzebujących za darmo?
✅ Wybierz Fundacja Pomagam.pl na liście OPP w rozliczeniu PIT.
✅ Wpisz nasz numer KRS 00 00 353 888 w deklaracji PIT.
Dla Ciebie to rubryka. Dla nich szansa, by przetrwać najgorsze.
Asia
❤️