
Cześć wszystkim
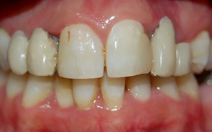
Mieszkam tylko z mamą, która bardzo potrzebuje pomocy dentysty. Jej zęby są w bardzo złym stanie i jeśli nie uzbieramy pieniędzy, będzie musiała mieć wyrwane kilka swoich stałych zębów, ponieważ tylko wyrwanie zębów jest finansowane, a inne zabiegi, które mogłyby pomóc mojej mamie są płatne. Proteza jest niestety finansowana jedynie w wypadku, gdy nie ma wszystkich zębów. Jest to dla mojej mamy bardzo ciężkie, ponieważ ma dopiero 49 lat i brak kilku zębów to byłaby dla niej duża zmiana. W dodatku ból zębów jest coraz gorszy. Proszę o wasze wsparcie🥺❤️uśmiech jest przecież najważniejszy


Gdy świat się wali, dajemy nadzieję ❤️ Wspieramy chorych w pozyskaniu środków na leczenie, pomagamy zwierzętom i reagujemy natychmiast w pilnych sytuacjach kryzysowych 🚨
Jak odmienić los tysięcy potrzebujących za darmo?
✅ Wybierz Fundacja Pomagam.pl na liście OPP w rozliczeniu PIT.
✅ Wpisz nasz numer KRS 00 00 353 888 w deklaracji PIT.
Dla Ciebie to rubryka. Dla nich szansa, by przetrwać najgorsze.