
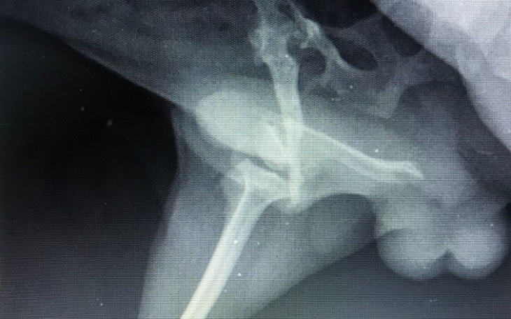
Benek trafił pod moją opiekę 23 lipca bieżącego roku. Maluch przyplątał się do znajomej na spacerze. Wsiadłam w auto i pojechałam ponad 50 km w jedna stronę, żeby go zabezpieczyć. Pomyślałam sobie, że może tylko się zgubił, dodam ogłoszenia i szybko właściciel się znajdzie. Szybko zderzyłam się z rzeczywistością. Zanim dotarłam na miejsce było już ciemno, wsadziłam psa do transporteka i wróciliśmy do domu. Dopiero po wypakowaniu go z samochodu i wypuszczeniu w pokoju wiele się wyjaśniło. Noga jest krótsza, cieńsza i w ogóle nic nie jest na miejscu. Oczywiście pchły to codzienność każdego błąkającego się psa i tak też było i tutaj. Benek jest już po pierwszej konsultacji. Miał zrobione zdjęcie rentgenowskie. Rokowania nie są najlepsze. To bardzo stary uraz. Ktoś wtedy zostawił go samego sobie i wszystko pozrastało się tak jak chciało. Nie chce nawet myśleć jak musiał cierpieć. Amputacja to dla nas ostateczność dlatego nadal szukamy innego rozwiązania.




Każda wizyta wiąże się z obciążeniem finansowym. Nie każdy weterynarz, który nie zna nas zgadza się na wystawienie fv i późniejszą jej zapłatę dlatego musimy mieć jakieś zabezpieczenie finansowe. Moi podopieczni już w tej chwili są na minusie 388 zł, nie mam z czego nieustannie dokładać. :(
Oprócz wyjaśnienia sprawy z łapą czego go czipowanie i szczepinie a także kastracja to już wydatek rzędu ok. 250 zł. Wkładam 100 % siebie w to wszytsko ale nie mam żadnej innej zewnętrznej pomocy niż Państwa darowizny. Pomóżmy mu wszyscy razem.
To wydatki, które obecnie nad nami wiszą :

Czipowanie i szczepinie dwóch rudych sunieczek.

Testy na białaczkę + odrobaczenie dwóch czarnych kotów.

37 zł za odrobaczenie i odpchlenie szczeniaków i dorosłych psów z gospodarstwa. 100 zł opłacone przez Panią Martę.

100 zł pierwsza konsultacja Benka w Kielcach.
Na bieżąco będę informować o postępach związanych z wyprowadzeniem Benka na prosto a także z kosztami z tym związanymi. Z góry dziękuje za każdą pomoc. Trzymajcie kciuki! :)
Uważasz, że ta zbiórka zawiera niedozwolone treści ? Napisz do nas


Gdy świat się wali, dajemy nadzieję ❤️ Pomagamy chorym i bezdomnym zwierzętom, ratujemy je w sytuacjach kryzysowych np. w czasie mrozów lub powodzi oraz wspieramy schroniska 🏠🐾
Jak odmienić los tysięcy potrzebujących za darmo?
✅ Wybierz Fundacja Pomagam.pl na liście OPP w rozliczeniu PIT.
✅ Wpisz nasz numer KRS 00 00 353 888 w deklaracji PIT.
Dla Ciebie to rubryka. Dla nich szansa, by przetrwać najgorsze.