
Skwarek prosi o pomoc

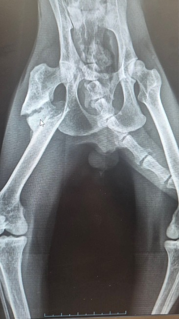
Skwarek nie miał lekkiego życia. Znaleziony pod płotem w jednej z podłódzkich miejscowości przyjechał do lecznicy na zabieg kastracji. Chudzielec z wielką głową, toną pcheł i kleszczy, brudnymi uszami, stanem zapalnym jelit i starym, paskudnym złamaniem łapy, która – bez pomocy lekarza – zaczęła się zrastać po swojemu 😞 W pakiecie ze Skwarkiem dostaliśmy też ogromną ufność i miłość do człowieka… Nie można go było zwrócić ulicy – przyjechał więc do kociarni.
Przed nami cały pakiet działań, by doprowadzić Skwarka do dawno minionej świetności. Z łapką niestety niewiele można już zrobić, to złamanie sprzed 5 tygodni i w tej chwili łamanie łapy od nowa i operacja jej ponownego składania pociągnęłaby ogromne koszty, a jej efekt i tak byłby nieprzewidywalny 😞 Skwarek chodzi, łapkę stawia nieco inaczej niż tę zdrową, ale liczymy na to, że kiedy się już zupełnie zrośnie będzie lepiej. Być może konieczna będzie rehabilitacja ale na razie leczymy stan zapalny jelit, odrobaczamy, karmimy i przygotowujemy się do szczepień. Skwarek zaczyna nowe życie – prosimy – pomóżcie mu w tym starcie. Jest przekochany, przeuroczy i wyjątkowo zadowolony ze zmiany w swoim życiu
Będziemy wdzięczni za każdą wpłatę ❤️

Uważasz, że ta zbiórka zawiera niedozwolone treści ? Napisz do nas


Gdy świat się wali, dajemy nadzieję ❤️ Pomagamy chorym i bezdomnym zwierzętom, ratujemy je w sytuacjach kryzysowych np. w czasie mrozów lub powodzi oraz wspieramy schroniska 🏠🐾
Jak odmienić los tysięcy potrzebujących za darmo?
✅ Wybierz Fundacja Pomagam.pl na liście OPP w rozliczeniu PIT.
✅ Wpisz nasz numer KRS 00 00 353 888 w deklaracji PIT.
Dla Ciebie to rubryka. Dla nich szansa, by przetrwać najgorsze.