Kamil Dąb
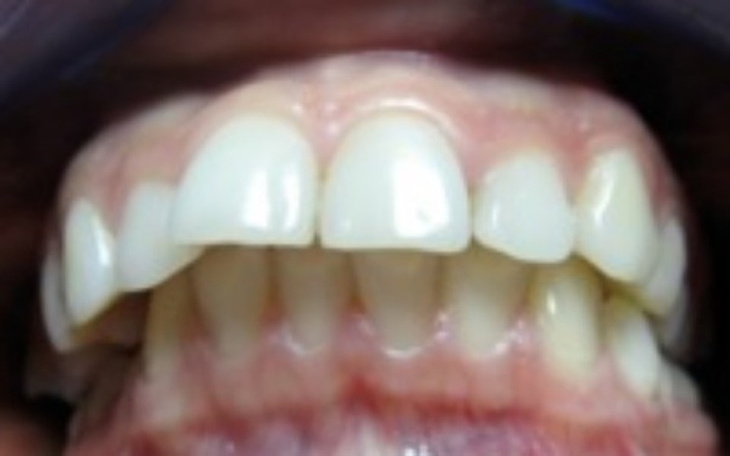
Nazywam się Kamil, mam 17 lat. Mam zniszczone zęby oraz posiadam wade zgryzu, bardzo proszę was o pomoc, rodzic nie ma jak mi zafundować takich dużych kosztów na aparat ortodontyczny. Z Góry dziękuje za wpłaty i pomoc! Karma kiedyś do was wróci!!



