
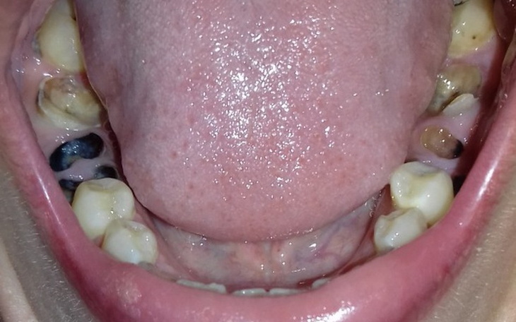
Witaj. W czasie ciąży zauważyłam, że moje piękne zęby niestety tracą zdrowie . Odrazu były leczone, ale na marne 3 lata temu zachorowałam na niedoczynność tarczycy ... i tu zaczął się koszmar zęby tylne zaczęły
Się sypać ... stany zapalne .ropa ....to był koszmar dentysta pomógł tyle co się dało , ale niestety zęby się łamały przy dziąśle reszta została. ... dziąsło zrosnąć się nie może zostały brzydkie czarne dziury z resztkami zębów. . NFZ nic nie pomoże. Prywatnie każą zrobić. Potrzeba usunąć pod narkozą .jeszcze zrobić tomografie . Proszę o pomoc. Wstydzę się rozmawiać z ludźmi. .. z osoby wesołej uśmiechnięj...stałam się niepewną siebie kobietą.
Uważasz, że ta zbiórka zawiera niedozwolone treści ? Napisz do nas


Gdy świat się wali, dajemy nadzieję ❤️ Wspieramy chorych w pozyskaniu środków na leczenie, pomagamy zwierzętom i reagujemy natychmiast w pilnych sytuacjach kryzysowych 🚨
Jak odmienić los tysięcy potrzebujących za darmo?
✅ Wybierz Fundacja Pomagam.pl na liście OPP w rozliczeniu PIT.
✅ Wpisz nasz numer KRS 00 00 353 888 w deklaracji PIT.
Dla Ciebie to rubryka. Dla nich szansa, by przetrwać najgorsze.