
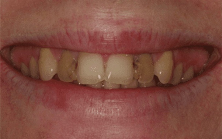
Witam pozwoliłem sobie założyć ta zbiórkę dla mojej koleżanki ponieważ ma problem z zębami.W wieku 30 lat ma wszystkie zęby do wymiany samej jej na to nie stać wiec chciałbym spróbować tutaj może ktoś pomoże mojej koleżance i w końcu zacznie się uśmiechać.


Gdy świat się wali, dajemy nadzieję ❤️ Wspieramy chorych w pozyskaniu środków na leczenie, pomagamy zwierzętom i reagujemy natychmiast w pilnych sytuacjach kryzysowych 🚨
Jak odmienić los tysięcy potrzebujących za darmo?
✅ Wybierz Fundacja Pomagam.pl na liście OPP w rozliczeniu PIT.
✅ Wpisz nasz numer KRS 00 00 353 888 w deklaracji PIT.
Dla Ciebie to rubryka. Dla nich szansa, by przetrwać najgorsze.