
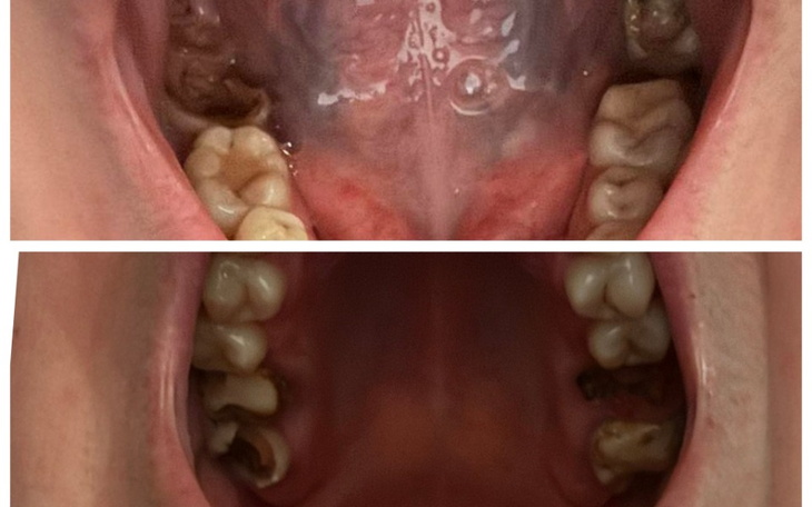
Witam. Nazywam się Yuliia. Tak się złożyło, że po ciąży i porodzie moje zęby zaczęły się strasznie pogarszać . Jestem teraz w bardzo trudnej sytuacji i po prostu nie mam niezbędnych środków na ich leczenie. Będę wdzięczna za pomoc.
Uważasz, że ta zbiórka zawiera niedozwolone treści ? Napisz do nas


Gdy świat się wali, dajemy nadzieję ❤️ Wspieramy chorych w pozyskaniu środków na leczenie, pomagamy zwierzętom i reagujemy natychmiast w pilnych sytuacjach kryzysowych 🚨
Jak odmienić los tysięcy potrzebujących za darmo?
✅ Wybierz Fundacja Pomagam.pl na liście OPP w rozliczeniu PIT.
✅ Wpisz nasz numer KRS 00 00 353 888 w deklaracji PIT.
Dla Ciebie to rubryka. Dla nich szansa, by przetrwać najgorsze.