Katarzyna Niedziołko
Łapkę Misi trzeba było jednak amputować.. faktura dalej do zapłaty.

Niestety, wpłata na tę zbiórkę nie jest już możliwa.


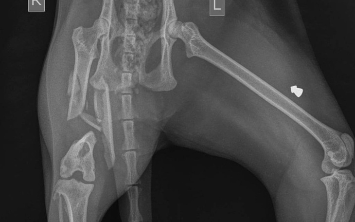
"Misie zabrałam z ulicy gdy miała zaledwie 4 miesiące, a obecnie ma 6 lat. Kilka dni temu wymknęła się z domu, została znaleziona leżąca przy drodze. Zdjęcia RTG wykazały, że jej prawa tylna łapa ma wieloodłamowe złamanie prawej kości udowej z przemieszczeniem odłamów kostnych. Aby uniknąć amputacji potrzebna jest operacja. Pomimo tego, że jest już dorosłym kotem wciąż uwielbia biegać i się bawić, a amputacja łapki byłaby dla niej jak wyrok."

Łapkę Misi trzeba było jednak amputować.. faktura dalej do zapłaty.

Uważasz, że ta zbiórka zawiera niedozwolone treści ? Napisz do nas


Gdy świat się wali, dajemy nadzieję ❤️ Pomagamy chorym i bezdomnym zwierzętom, ratujemy je w sytuacjach kryzysowych np. w czasie mrozów lub powodzi oraz wspieramy schroniska 🏠🐾
Jak odmienić los tysięcy potrzebujących za darmo?
✅ Wybierz Fundacja Pomagam.pl na liście OPP w rozliczeniu PIT.
✅ Wpisz nasz numer KRS 00 00 353 888 w deklaracji PIT.
Dla Ciebie to rubryka. Dla nich szansa, by przetrwać najgorsze.
Wpłata nie jest możliwa po końcu zbiórki.
Zrób jeszcze jeden mały krok.
Nawet 1 zł może pomóc!
