Wpłata nie jest możliwa po końcu zbiórki.
Niestety, wpłata na tę zbiórkę nie jest już możliwa.

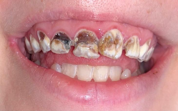
Dzień dobry zgłaszam się o pomoc dla mojej dziewczyny która ma zaledwie 20 lat a przez leczenie na nfz jej zęby wyglądają właśnie tak jak na zdjęciu… nikt na nfz nie podejmie się naprawy tych zębów a na koszt leczenia nas nie stać.
Chce jej pomóc chociaż przez tą zbiórkę żeby przywrócic jej uśmiech sprzed lat którego dawno nie widziałem, chce żeby znowu zaczęła wychodzić do ludzi i czuła się sama ze soba piękna bo teraz nawet nie chce wychodzić do sklepu zamknęła się na świat.
Koszty leczenia może dla jednych nie są duże ale dla niej ogromne zrobieniu 6 zębów sztucznych jest dość kosztowne sam do końca nie wiem jak bardzo.
Dlatego proszę was o pomoc
‼️‼️PRZYWRÓĆMY JEJ TEN PIĘKNY UŚMIECH ‼️‼️


Gdy świat się wali, dajemy nadzieję ❤️ Wspieramy chorych w pozyskaniu środków na leczenie, pomagamy zwierzętom i reagujemy natychmiast w pilnych sytuacjach kryzysowych 🚨
Jak odmienić los tysięcy potrzebujących za darmo?
✅ Wybierz Fundacja Pomagam.pl na liście OPP w rozliczeniu PIT.
✅ Wpisz nasz numer KRS 00 00 353 888 w deklaracji PIT.
Dla Ciebie to rubryka. Dla nich szansa, by przetrwać najgorsze.
Wpłata nie jest możliwa po końcu zbiórki.
Zrób jeszcze jeden mały krok.
Nawet 1 zł może pomóc!
