TATRZAŃSKIE TOWARZYSTWO OPIEKI NAD ZWIERZĘTAMI W ZAKOPANEM
Dziekujemy Państwu za wsparcie leczenia Odiego

Niestety, wpłata na tę zbiórkę nie jest już możliwa.

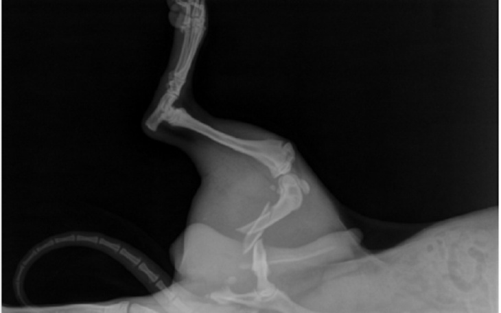
Odi to 7.miesieczny piesek z Zakopanego. Niedopilnowany, został potracony przez samochód i dziś bardzo cierpi. Koszty leczenia przerastają możliwości rodziny, nawet dla nas są bardzo wysokie. Sama operacja to koszt około 2000 zł, do tego wizyty kontrolne i zmiana opatrunków. Ewentualną nadwyżkę, przeznaczymy na zakup dobrej karmy, bo maluszek ma anemię i jest słabo odzywiony.

Dziekujemy Państwu za wsparcie leczenia Odiego

Uważasz, że ta zbiórka zawiera niedozwolone treści ? Napisz do nas


Gdy świat się wali, dajemy nadzieję ❤️ Pomagamy chorym i bezdomnym zwierzętom, ratujemy je w sytuacjach kryzysowych np. w czasie mrozów lub powodzi oraz wspieramy schroniska 🏠🐾
Jak odmienić los tysięcy potrzebujących za darmo?
✅ Wybierz Fundacja Pomagam.pl na liście OPP w rozliczeniu PIT.
✅ Wpisz nasz numer KRS 00 00 353 888 w deklaracji PIT.
Dla Ciebie to rubryka. Dla nich szansa, by przetrwać najgorsze.
Wpłata nie jest możliwa po końcu zbiórki.
Zrób jeszcze jeden mały krok.
Nawet 1 zł może pomóc!
