Niestety, wpłata na tę zbiórkę nie jest już możliwa.

Ropopiersie Korka: dramatyczna walka o życie młodego kotka!
Korek, 2,5-letni kot z Dolnego Śląska, znalazł się w dramatycznej sytuacji zdrowotnej z powodu ropopiersia. Początkowo pojawiły się objawy kaszlu i trudności z oddychaniem. Mimo podjętej antybiotykoterapii, jego stan pogorszył się, co przejawiało się brakiem apetytu, apatią, a przede wszystkim bardzo męczącymi, astmatycznymi napadami kaszlu.

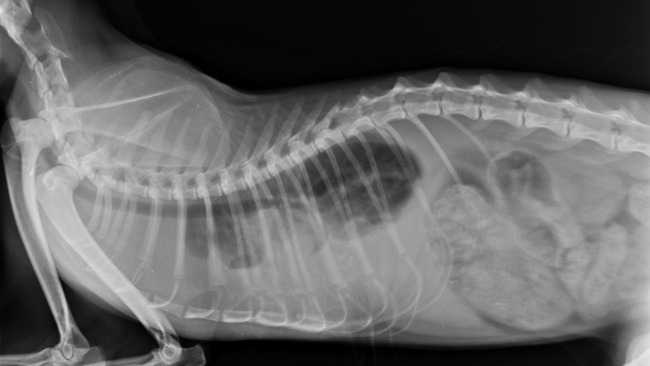
Po przewiezieniu do Warszawy i przeprowadzeniu szeregu badań diagnostycznych, takich jak badanie rentgenowskie, USG klatki piersiowej oraz echo serca, potwierdzono diagnozę ropopiersia - sytuacji, w której gromadzi się ropny wysięk między płucami a sercem.

Aktualnie Korek przebywa w szpitalu, poddawany intensywnej terapii, obejmującej dożylną antybiotykoterapię, drenaż opłucnej oraz regularne płukanie klatki piersiowej.
Niepewność co do dalszego czasu hospitalizacji jest duża. Koszty leczenia są ogromne, w tym niezbędna tomografia komputerowa klatki piersiowej, która umożliwi bardziej szczegółową diagnozę oraz dostosowanie terapii.
Z góry dziękujemy z całego serca za okazaną życzliwość i wsparcie. Razem, małymi kroczkami, możemy zdziałać wiele i dać Korkowi szansę na radosną, pełną kocich przygód przyszłość, m.in. z jego siostrą Miłą (zdjęcie poniżej).

Uważasz, że ta zbiórka zawiera niedozwolone treści ? Napisz do nas


Gdy świat się wali, dajemy nadzieję ❤️ Pomagamy chorym i bezdomnym zwierzętom, ratujemy je w sytuacjach kryzysowych np. w czasie mrozów lub powodzi oraz wspieramy schroniska 🏠🐾
Jak odmienić los tysięcy potrzebujących za darmo?
✅ Wybierz Fundacja Pomagam.pl na liście OPP w rozliczeniu PIT.
✅ Wpisz nasz numer KRS 00 00 353 888 w deklaracji PIT.
Dla Ciebie to rubryka. Dla nich szansa, by przetrwać najgorsze.
Wpłata nie jest możliwa po końcu zbiórki.
Zrób jeszcze jeden mały krok.
Nawet 1 zł może pomóc!
