Niestety, wpłata na tę zbiórkę nie jest już możliwa.

Kocurka znaleziono na Placu Działowym w Żninie dnia 18.03.2023r. Gdy trafił do nas męczyła go niekontrolowana biegunka, z kota się po prostu lało. Placuś był brudny, chudy, zaniedbany i lichy.

Od razu było widać, że z ogonem jest coś nie tak, zwisał bezwładnie. Podane leki na biegunkę pomogły lecz niedługo potem ujawnił się nowy problem - problem z wypróżnianiem.
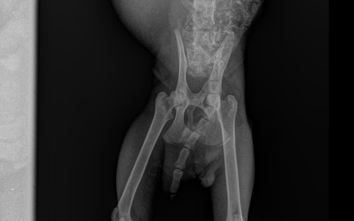
RTG wykonane w Żninie wykazało stare i krzywo zrośnięte złamanie miednicy. Do tego przerwanie rdzenia kręgowego tuż przy ogonie. Ogon został wyrwany.
Gdyby uraz miał miejsce wyżej, kot byłby kaleką. Co Placusia spotkało nie wiemy, ale zapewne sprawiło mu cierpienie.
Niestety spora krzywizna miednicy okazała się przyczyną tego, że kot nie mógł się wypróżnić, było zbyt wąsko.

Podawane leki mające pomóc nie pomagały. Mijały kolejne dni, a Placuś nie mógł się wypróżnić. Zagrożenie życia stawało się coraz bliższe.
Pełne nadziei postanowiłyśmy skonsultować przypadek Placusia z chirurgiem ortopedą.
Podczas pobytu w Klinice "Centrum" w Bydgoszczy wykonano lewatywę w znieczuleniu, usg, RTG, badanie krwi. 

Zalecono specjalną dietę z postaci mokrej karmy bogatej w włókna i leki mające usprawnić wypróżnianie.
Krótko mówiąc nie można dopuścić do tego by Placuś znowu się zatkał.
Po pierwszej konsultacji mamy informację, że stare złamanie nie bedzie naprawiane.
Póki co, stosujemy się do zaleceń z nadzieją, że efekt będzie dobry. Nie wykluczamy dalszych konsultacji.
Nad Placusiem zawisła wizja eutanazji. Jednak postanowiłyśmy spróbować mu pomóc, w końcu jest młody i me chęci do życia, jest mimo wszystko pogodnym kocurkiem.



Prosimy o pomoc w opłaceniu faktury za dotychczasowe leczenie i zakup specjalistycznej karmy oraz niezbędnych leków. 
Uważasz, że ta zbiórka zawiera niedozwolone treści ? Napisz do nas


Gdy świat się wali, dajemy nadzieję ❤️ Pomagamy chorym i bezdomnym zwierzętom, ratujemy je w sytuacjach kryzysowych np. w czasie mrozów lub powodzi oraz wspieramy schroniska 🏠🐾
Jak odmienić los tysięcy potrzebujących za darmo?
✅ Wybierz Fundacja Pomagam.pl na liście OPP w rozliczeniu PIT.
✅ Wpisz nasz numer KRS 00 00 353 888 w deklaracji PIT.
Dla Ciebie to rubryka. Dla nich szansa, by przetrwać najgorsze.
Wpłata nie jest możliwa po końcu zbiórki.
Zrób jeszcze jeden mały krok.
Nawet 1 zł może pomóc!
