
Tysia 💚 – Nadzieja na nowe życie
Aktualizacja: Tysia jest już po zabiegu, czeka ją 6 tygodni rekonwalescencji, ale łapka będzie sprawna.
Poprosiliśmy o fakturę z odroczonym terminem płatności, po to aby udało się nadgonić zbiórkę.
To wszystko dla niej 🙏

Tysia to sunia, która doświadczyła więcej bólu i cierpienia, niż można sobie wyobrazić. Wyrzucona jako szczenię, przez kilka miesięcy koczowała w przepuście przy ruchliwej drodze na trasie Mochowo–Tłuchowo. Była przerażona, unikała ludzi i nie dawała się złapać. Niestety, podczas tego trudnego czasu, została potrącona przez samochód. 😔
W wyniku wypadku doznała złamania przedniej łapki i przez wiele tygodni cierpiała w bólu. Dopiero kiedy udało nam się ją zabezpieczyć przy pomocy klatki-łapki, mogliśmy odetchnąć z ulgą. Kolejne psie życie zostało uratowane – Tysia nie zginęła pod kołami samochodu.
Początkowo trafiła do gminnego kojca, a obecnie przebywa w hoteliku, gdzie przygotowujemy ją do adopcji. Przestraszonej suni, która uciekała przed ludźmi, już nie ma. Dziś Tysia tuli się do człowieka, szukając w nim wsparcia. Jest bardzo spokojna i grzeczna.

Jednak kto zaadoptuje psa ze złamaną łapką? 🥺

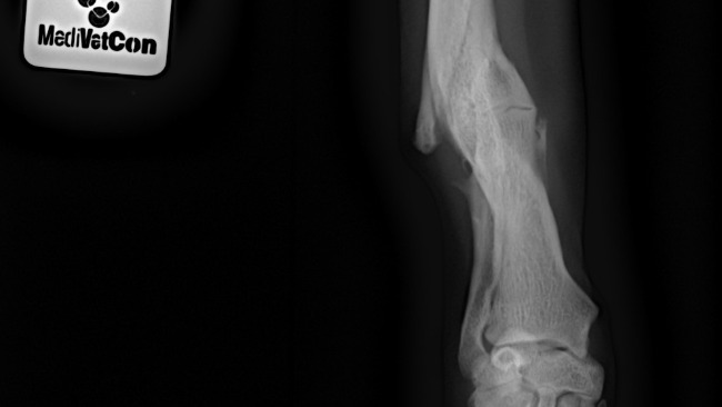
Na początku lutego Tysia była na konsultacji ortopedycznej, podczas której wykonano zdjęcie RTG. Początkowo rokowania co do operacji nie były pomyślne. Jednak we wtorek została zabrana na kolejną konsultację i pan doktor dał zielone światło! 😍

Tysia jest już umówiona na operację, która odbędzie się 31 marca. Dzięki niej będzie miała szansę wrócić do pełnej sprawności. Przed nią oczywiście okres rekonwalescencji, ale pojawiła się nadzieja – a wraz z nią zwiększyła się jej szansa na znalezienie kochającego domu.
Koszt operacji to 2000-2200 zł, dlatego zwracamy się do Was o pomoc. Na ten cel została utworzona zbiórka:
Kochani, prosimy o szansę dla Tysi 🙏
Ostatnia zbiórka na Mambę zakończyła się zaledwie na 1/4 potrzebnych kosztów. Niestety, bez Waszej pomocy nie uda się pokryć wydatków związanych z operacją Tysi.
Jeśli nie uzbieramy wymaganej kwoty, będę zmuszona odwołać zabieg, bo nie jesteśmy w stanie udźwignąć kolejnych kosztów 😥. A przed nami jeszcze inne wizyty weterynaryjne, które są równie ważne.

Bardzo prosimy, nie pozwólmy, aby straciła swoją szansę na zdrowie i nowy dom. Każda, nawet najmniejsza wpłata, ma ogromne znaczenie.
Twoje słowa mają moc pomagania! Wpłać darowiznę i przekaż kilka słów wsparcia 🤲
Uważasz, że ta zbiórka zawiera niedozwolone treści ? Napisz do nas


Gdy świat się wali, dajemy nadzieję ❤️ Pomagamy chorym i bezdomnym zwierzętom, ratujemy je w sytuacjach kryzysowych np. w czasie mrozów lub powodzi oraz wspieramy schroniska 🏠🐾
Jak odmienić los tysięcy potrzebujących za darmo?
✅ Wybierz Fundacja Pomagam.pl na liście OPP w rozliczeniu PIT.
✅ Wpisz nasz numer KRS 00 00 353 888 w deklaracji PIT.
Dla Ciebie to rubryka. Dla nich szansa, by przetrwać najgorsze.
Ka Ma
Bądź zdrowa maleńka.Trzymam kciuki.
Anonimowy Darczyńca
Trzymam kciuki za Ciebie Malenka:)) zdrowka!!!