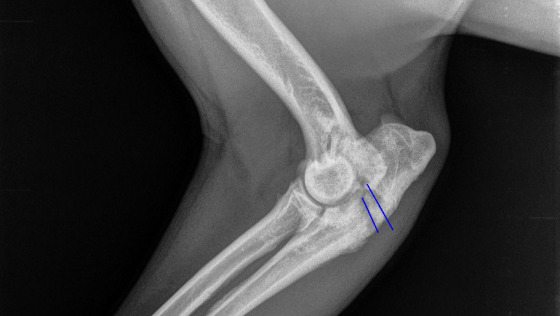
Milka już po operacji
Operacja odbyła się w środę 17.08
Zarówno artroskopia, jak i stabilizacja łokcia udały się doskonale, wszystko poszło gładko i bez komplikacji :)
Milka zniosła zabieg bardzo dzielnie, zuch dziewczynka!
Całkowity koszt operacji wyniósł 2 089,68 zł, a składały się na niego - zaliczka w wysokości 3 000 KC (516,47 zł) i faktura za sam zabieg 9 983,00 KC (1573,21 zł)
Serdecznie dziękujemy wszystkim Darczyńcom!













olaqrk
Pomagajmy!!!
Mieciowi
Powodzenia!
Edyta
Proszę ni mam
Cola
Zdrówka maluszku
Krzysztof
Od Nica