Wpłata nie jest możliwa po końcu zbiórki.
Niestety, wpłata na tę zbiórkę nie jest już możliwa.

Agenezja zębów oraz oligodoncja jest rzadką wrodzoną wadą rozwojową o podłożu genetycznym, z którą się urodziłem. Z powodu braku zawiązek zębów stałych, zdeformowane zęby mleczne pozostały mi na całe życie. Natomiast część uzębienia nie wyrosła nigdy, nawet jako zęby mleczne.
Ponadto już w wieku 16 lat wystąpiło u mnie szybko postępujące łysienie androgenowe, jak również łysienie plackowate, przez co do wieku 18 lat utraciłem włosy.
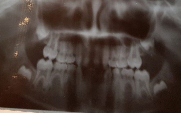
Zamieszczone zdjęcie RTG przedstawia moje uzębienie, jednak sprzed wielu lat. Zęby mleczne były słabe i bardzo szybko ulegały zniszczeniu. Obecny stan uzębienia jest daleki od tego, co ukazuje zdjęcie.
Zabiegi, które chciałbym móc wykonać, dotyczą ekstrakcji górnych, przednich zdeformowanych zębów mlecznych i wstawienie w ich miejsce mostu protetycznego z koron osadzonego na filarach przygotowanych z własnych zębów trzonowych. Być może wymagane byłyby dodatkowe implanty w 2 punktach, tak aby most utrzymywał się w 2 punkatch z tyłu, oraz w 2 punktach z przodu górnej szczęki.
Dolna szczęka wymaga kompletnego mostu całego uzębienia, opartego na implantach w 4 punktach. Dwa obecne zęby mleczne z przodu dolnej szczęki mogą okazać się zbyt słabe, aby posłużyć za filary dla mostu. Wszystko to musi być jeszcze poprzedzone kilkoma ekstrakcjami chirurgicznymi pozostałości po zębach trzonowych.
Od wczesnego wieku, trwające po dziś, poczucie wstydu, ciągle nawracające stany depresyjne, trudności w otwartym komunikowaniu się, osobowość unikająca, to wszystko miało negatywny wpływ na moją edukację, jak również późniejsze życie zawodowe i prywatne.
Nigdy nie byłem w stanie zdobyć odpowiednich funduszy na realizację wymaganych zabiegów i leczenia protetycznego. Nieciekawa sytuacja rodzinna również nie była w tym pomocna.
Ostatnich kilka lat wszelkie wolne środki finansowe przeznaczałem na remont domu mojego ojca, a właściwie powolnym doprowadzeniu go do stanu zdatnego do mieszkania. Mój ojciec przez ok. 10 lat był osobą bezdomną, odkąd byłem jeszcze nastolatkiem. Do czasu, gdy dalsza rodzina przekazała mu stary i zniszczony wiejski dom w darowiźnie. Jednak zapotrzebowanie finansowe na wciąż wymagający dalszych remontów dom daleko przekracza koszt leczenia mojego uzębienia. Nie posiadając własnościowego mieszkania czy domu, angażując się w remont domu ojca, pomimo, że tam obecnie nie zamieszkuję, bardzo prawdopodobnie remontuję go również dla siebie. Dlatego wiem, że w nadchodzących latach perspektywa jest właściwie znikoma, żebym samodzielnie był w stanie zrealizować te jedno z moich własnych marzeń, jakim jest zyskać nowy uśmiech.
Proszę wesprzyj mnie w realizacji tego marzenia :)


Gdy świat się wali, dajemy nadzieję ❤️ Wspieramy chorych w pozyskaniu środków na leczenie, pomagamy zwierzętom i reagujemy natychmiast w pilnych sytuacjach kryzysowych 🚨
Jak odmienić los tysięcy potrzebujących za darmo?
✅ Wybierz Fundacja Pomagam.pl na liście OPP w rozliczeniu PIT.
✅ Wpisz nasz numer KRS 00 00 353 888 w deklaracji PIT.
Dla Ciebie to rubryka. Dla nich szansa, by przetrwać najgorsze.
Wpłata nie jest możliwa po końcu zbiórki.
Zrób jeszcze jeden mały krok.
Nawet 1 zł może pomóc!
