. .
Diagnoza

Niestety, wpłata na tę zbiórkę nie jest już możliwa.

Choroba dała o sobie mocno znać.
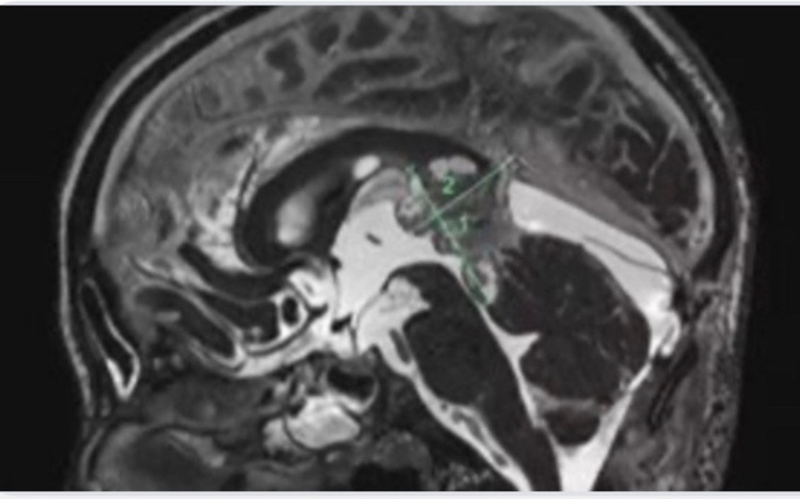
Złoslowy guzem mózgu. Straszną diagnozę postawili niemieccy lekarze. Bóle głowy i nudności doprowadzily do wizyty w szpitalu. Przeprowadzono badanie rezonansem, które pokazało, że w głowie jest guz.
Pobrano próbki guza do badania. Okazało się, że jest szybko rosnący guz umiejscowiony na rozwidleniu dwuch żył.
Do wyleczenia potrzebna będzie seria kosztownych opetwcji ktore przeprowadzone beda w niemczech.
Problemem stał się koszt terapii. Zbiórka na leczenie została rozpoczęta. Prosimy wszystkich o pomoc w zebraniu brakującej kwoty i udostępnianie linku z nasza zbiórka. 🙏
Diagnoza

Uważasz, że ta zbiórka zawiera niedozwolone treści ? Napisz do nas


Gdy świat się wali, dajemy nadzieję ❤️ Wspieramy chorych w pozyskaniu środków na leczenie, pomagamy zwierzętom i reagujemy natychmiast w pilnych sytuacjach kryzysowych 🚨
Jak odmienić los tysięcy potrzebujących za darmo?
✅ Wybierz Fundacja Pomagam.pl na liście OPP w rozliczeniu PIT.
✅ Wpisz nasz numer KRS 00 00 353 888 w deklaracji PIT.
Dla Ciebie to rubryka. Dla nich szansa, by przetrwać najgorsze.
Wpłata nie jest możliwa po końcu zbiórki.
Zrób jeszcze jeden mały krok.
Nawet 1 zł może pomóc!
