Niestety, wpłata na tę zbiórkę nie jest już możliwa.

Aktualizacja 05.11.2025
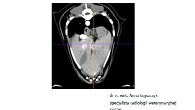
Pomimo początkowych wątpliwości szersze badania potwierdziły chłoniaka T-komórkowego.
31 października Atenka rozpoczęła chemioterapię.
--------------------------------
Aktualizacja 16.10.2025
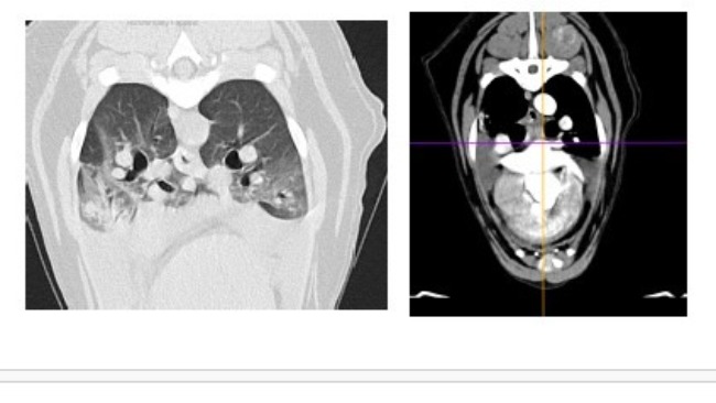
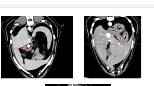
Atenka jest już po tomografii, po biopsjach śledziony i węzłów chłonnych, oraz po punkcji płynu z jamy opłucnej. Pozostaje nam teraz długie wyczekanie na opisy i na wyniki badań.
--------------------------------
Atenka nie jest psem fundacyjnym, tylko moim osobistym. Ale jest sercem tej Fundacji. Razem ją tworzyłyśmy. Od samego początku, a nawet i wcześniej, Atenka była moją prawą ręką, a raczej łapą. To ona wprowadzała nowe psy do istniejącego stada. To ona wspierała nowe psiaki w nowej sytuacji, ona pokazywała wycofanym psom, że człowiek jest ok, ona pokazywała jak fajnie jest na spacerach, ona pokazywała jak żyje się w domu, ona pomagała w wychowywaniu szczeniaków. Pomagała, a teraz sama potrzebuje pomocy.
Zwykłe badanie profilaktyczne, a wyszło: podniesiony kortyzol, powiększone węzły chłonne, pobudzona śledziona i płyn w jamie opłucnowej.
Badania moczu, badanie krwi, USG jamy brzusznej, echo serca, rtg, wizyta onkologiczna.... To wszystko co już mamy za sobą i nadal nie wiadomo co się z Atenką dzieje i nie wiadomo jak ją leczyć. Wykluczony został zespół Cushinga. Wykluczone zostały choroby serca. Podejrzenie chłoniaka na razie nie zostało potwierdzone. Diagnostyka trwa dalej, a koszty rosną w przerażającym tempie. Przed nami tomografia oraz biopsja śledziony, biopsje węzłów chłonnych, badanie cytologiczne płynu z jamy opłucnej. To koszt minimum 3000 zł.
Dlatego bardzo proszę o pomoc. Każda wpłata ma naprawdę ogromne znaczenie i będę wdzięczna za każde wsparcie żywego sreberka jakim jest Atenka <3.






































Uważasz, że ta zbiórka zawiera niedozwolone treści ? Napisz do nas


Gdy świat się wali, dajemy nadzieję ❤️ Pomagamy chorym i bezdomnym zwierzętom, ratujemy je w sytuacjach kryzysowych np. w czasie mrozów lub powodzi oraz wspieramy schroniska 🏠🐾
Jak odmienić los tysięcy potrzebujących za darmo?
✅ Wybierz Fundacja Pomagam.pl na liście OPP w rozliczeniu PIT.
✅ Wpisz nasz numer KRS 00 00 353 888 w deklaracji PIT.
Dla Ciebie to rubryka. Dla nich szansa, by przetrwać najgorsze.
Wpłata nie jest możliwa po końcu zbiórki.
Zrób jeszcze jeden mały krok.
Nawet 1 zł może pomóc!
