Niestety, wpłata na tę zbiórkę nie jest już możliwa.

Jestemśmy załamani w ciągu tygodnia to kolejny psie wymagający natychmiastowego leczenia!

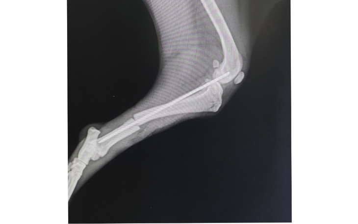
Niespełna roczny szczeniaki z koszmarnym złamaniem łapki 😓 trafił do nas w poniedziałek i pędziliśmy na sygnale do lecznicy. Zdjęcie RTG pokazało złamanie z przemieszczeniem kości.

Dzięki dr Robertowi udało się zoperować Bąbla ( Biszkopta) już we wtorek.

Maluch czuje się dobrze, jest zabezpieczony lekami, wraca mu dobry humor. Ale to jeszcze psie dziecko i bardzo potrzebuje człowieka 💔 dlatego błagamy o dom stały lub tymczasowy dla małego Bąbla ❤️
Uważasz, że ta zbiórka zawiera niedozwolone treści ? Napisz do nas


Gdy świat się wali, dajemy nadzieję ❤️ Pomagamy chorym i bezdomnym zwierzętom, ratujemy je w sytuacjach kryzysowych np. w czasie mrozów lub powodzi oraz wspieramy schroniska 🏠🐾
Jak odmienić los tysięcy potrzebujących za darmo?
✅ Wybierz Fundacja Pomagam.pl na liście OPP w rozliczeniu PIT.
✅ Wpisz nasz numer KRS 00 00 353 888 w deklaracji PIT.
Dla Ciebie to rubryka. Dla nich szansa, by przetrwać najgorsze.
Wpłata nie jest możliwa po końcu zbiórki.
Zrób jeszcze jeden mały krok.
Nawet 1 zł może pomóc!
