Stowarzyszenie Pomocy Bezdomnym Zwierzętom "Kocimiętka"
Koleżka byl dzisiaj na badaniu krwi i kroplowce.
Był bardzo grzeczny. Nawet udało mu się troszkę przytyć, co nas bardzo cieszy.
Trzymajcie kciuki żeby wyniki były dobre


Historia jakich wiele.
Kot jak kot. Przyszedł do misek tych "dzikich". Głodny,brudny,wychudzony.
I te oczy, smutne proszące:pomóż mi,nie chcę tu być.



Pod ręką poczułam każdą kosteczkę.
Decyzja była szybka,zabieram Cię kocie,Koleżko.
Nie wiem czy miał dom,czy znał człowieka,ale zaufał mi.
Pierwsza wizyta u weterynarza potwierdziła że to była dobra decyzja.
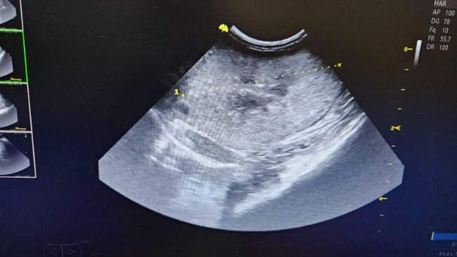
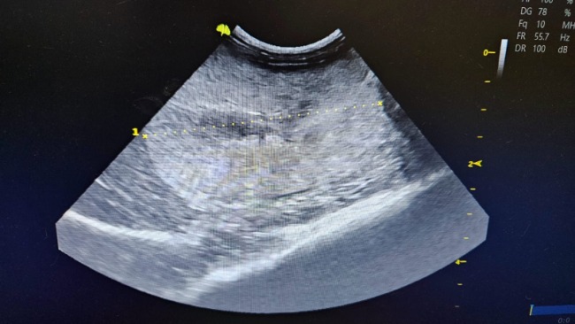
PNN czyli przewlekła niewydolność nerek.




Nieuleczalna. Nerki na usg w złym stanie.
Mocznik,kreatynina parametry bardzo przekroczone. Poza tym jest nieźle.
Koleżka ma szanse żyć i chce. Mruczy,tuli się. Ładnie je. Ja mu w tym pomagam.
W trakcie kolejnych wizyt u weterynarza, podawanie kroplówek, leków, dalszej diagnostyki przyszedł czas na porządek w "paszczy". Trzeba usunąć kilka ząbków, zdjąć z pozostałych kamień nazębny , przepłukać dziąsła.


Dobrze ze Koleżka jest bardzo spokojnym i grzecznym kotkiem i swojej opiekunce Ani pozwala wykonywać wszystkie zabiegi .
Leczenie Koleżka nie będzie ani szybkie ani łatwe a nerki nie będą całkowicie wyleczone.
Ale można opanować stan zapalny, poprawić działanie nerek poprzez dietę oraz kontrole u weterynarza. Koleżka dzielnie walczy i chce żyć. Chce mieć swojego człowieka a my musimy zrobić wszystko żeby jego komfort życia poprawić.
Powoli spływają faktury za leczenie Koleżka. Poniżej za zabieg dentystyczny .
Bardzo prosimy o wsparcie finansowe dla Koleżki

Koleżka byl dzisiaj na badaniu krwi i kroplowce.
Był bardzo grzeczny. Nawet udało mu się troszkę przytyć, co nas bardzo cieszy.
Trzymajcie kciuki żeby wyniki były dobre

Twoje słowa mają moc pomagania! Wpłać darowiznę i przekaż kilka słów wsparcia 🤲
Uważasz, że ta zbiórka zawiera niedozwolone treści ? Napisz do nas


Gdy świat się wali, dajemy nadzieję ❤️ Pomagamy chorym i bezdomnym zwierzętom, ratujemy je w sytuacjach kryzysowych np. w czasie mrozów lub powodzi oraz wspieramy schroniska 🏠🐾
Jak odmienić los tysięcy potrzebujących za darmo?
✅ Wybierz Fundacja Pomagam.pl na liście OPP w rozliczeniu PIT.
✅ Wpisz nasz numer KRS 00 00 353 888 w deklaracji PIT.
Dla Ciebie to rubryka. Dla nich szansa, by przetrwać najgorsze.
Beata
Trzymaj się Koleżko! ❤️
TyszAnka
Nie jesteś sam kotku .