Olga Lubańska
Tasman 04.08.2018... zabrany prosto z pola, gdzie został wyrzucony. Jeszcze "aniołek".

Niestety, wpłata na tę zbiórkę nie jest już możliwa.

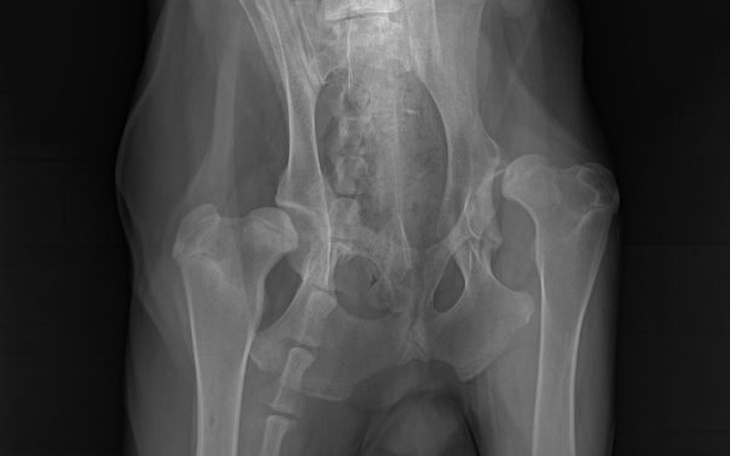
"TEN PIES CIERPI NIEMIŁOSIERNIE"... to słowa weterynarza.
Obustronna dysplazja stawów biodrowych, masywna deformacja kości, przebudowa stawu łokciowego lewego wtórna do dysplazji stawu łokciowego, zwichnięte biodro, prawe na granicy nadwichnięcia, stan zapalny, duża bolesność.
Możliwości leczenia:
- Resekcja głowy i szyi kości udowej P (ok. 1500 zł) + dartroplastyka (3500 zł).
- Protezowanie stawu biodrowego L (10.000-12.000 zł jedna strona). Jeśli pogorszy się stan P, protezowanie obu.
Tasman trafił do mnie, kiedy miał zaledwie kilka dni. Został odrobaczony, odpchlony, przebadany. Odkarmiony, rósł i rozwijał się prawidłowo. Szukał domu, gałgan robił wszystko, by nikt się nim nie zainteresował ;) Postanowiliśmy z rodziną, chociaż u nas ciasno i mało miejsca, że święta spędzi już w swoim domu i tak Tasman został z nami.
Imię i wywijające się ciągle uszy idealnie oddają jego charakter. Przez tyle lat walki o bezdomniaki, takiego diabła jeszcze nie miałam :)
Na moim profilu na fb i pod #Tasman, możecie poczytać o nim i jego wybrykach.
Wszystko było dobrze, dieta i suplementy dla juniorów, bardzo szybko rósł. Jakieś 2-3 tygodnie temu okulał. Pilnie udaliśmy się do specjalisty. Diagnoza zwaliła nas z nóg :( Wada genetyczna, kości się nie wykształciły, masywna deformacja.
Potrzebne pilnie operacje! Koszty są gigantyczne! Nie jesteśmy w stanie sami pokryć tej kwoty. Prosimy o pomoc dla Tasmana! Będziemy wdzięczni za każdy grosik!
Tasman 04.08.2018... zabrany prosto z pola, gdzie został wyrzucony. Jeszcze "aniołek".

Twoje słowa mają moc pomagania! Wpłać darowiznę i przekaż kilka słów wsparcia 🤲
Uważasz, że ta zbiórka zawiera niedozwolone treści ? Napisz do nas


Gdy świat się wali, dajemy nadzieję ❤️ Pomagamy chorym i bezdomnym zwierzętom, ratujemy je w sytuacjach kryzysowych np. w czasie mrozów lub powodzi oraz wspieramy schroniska 🏠🐾
Jak odmienić los tysięcy potrzebujących za darmo?
✅ Wybierz Fundacja Pomagam.pl na liście OPP w rozliczeniu PIT.
✅ Wpisz nasz numer KRS 00 00 353 888 w deklaracji PIT.
Dla Ciebie to rubryka. Dla nich szansa, by przetrwać najgorsze.
Wpłata nie jest możliwa po końcu zbiórki.
Zrób jeszcze jeden mały krok.
Nawet 1 zł może pomóc!

Anonimowy Darczyńca
♥️